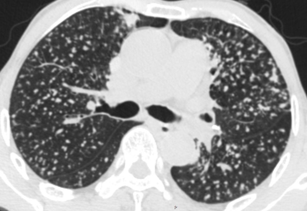
尘肺CT

遇到尘肺莫慌张 (原创)_谢冬医生文章_上海市肺科医院-微医
图片尺寸991x681
职业病尘肺标准片(照片)
图片尺寸1080x1440
尘肺,这个最经典!
图片尺寸1280x720
职业病尘肺标准片(照片)
图片尺寸1080x1440
职业病尘肺标准片(照片)
图片尺寸1080x1440
职业病尘肺标准片(照片)
图片尺寸1080x1440
尘肺病
图片尺寸1728x2304
尘肺 结核
图片尺寸812x662
尘肺篇——关爱呼吸健康,从阻断pm2.5开始!
图片尺寸512x414
尘肺病
图片尺寸1728x2304
相关疾病: 尘肺 肺结核 结核病 矽肺
图片尺寸780x1040
职业病尘肺标准片(照片)
图片尺寸1080x1440
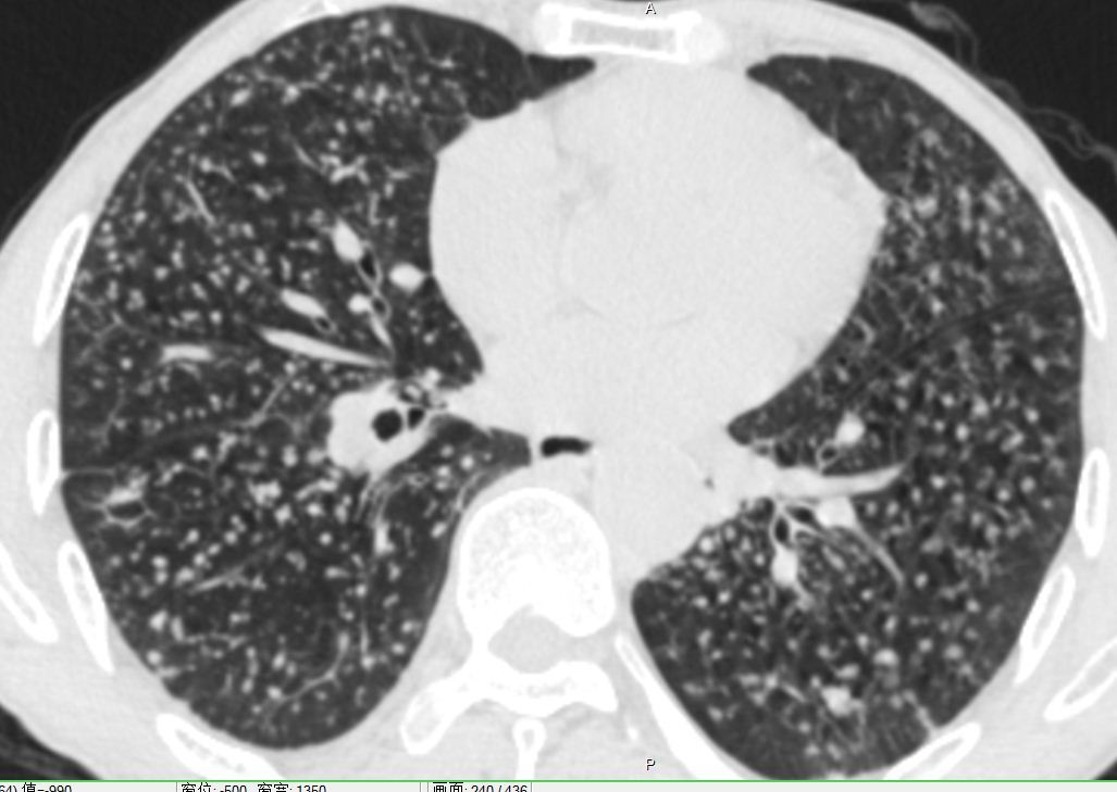
遇到尘肺莫慌张 (原创)_谢冬医生文章_上海市肺科医院-微医
图片尺寸1027x729
职业病尘肺标准片(照片)
图片尺寸1080x1440
尘肺篇——关爱呼吸健康,从阻断pm2.5开始!
图片尺寸1500x1200
职业病尘肺标准片(照片)
图片尺寸1080x1440
尘肺病人的肺部ct可以看到肺泡内堆积的尘粒 图源:科普中国
图片尺寸630x306
开胸验肺的张海超没想到,11年后,价值60万的尘肺病仍没人管
图片尺寸1270x1040
青橙在行动#5月4号达仁镇探访尘肺病兄弟
图片尺寸1200x1600
尘肺合并感染
图片尺寸3264x2448