尾椎骨肿瘤图片

骶尾部肿瘤及肿瘤样病变影像诊断
图片尺寸1080x608
【读片】骶尾椎肿瘤,会手术,病理在追踪中
图片尺寸1956x1854
尾椎骨上的"水泡",真让人"上头"
图片尺寸477x433
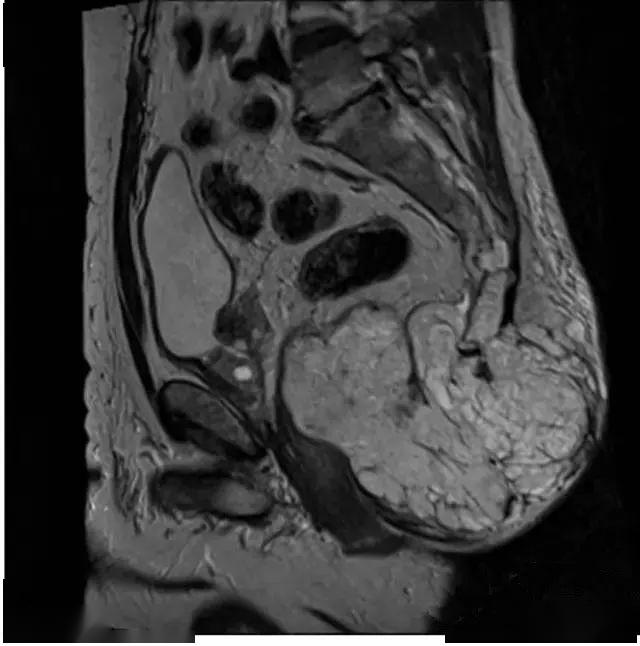
肿瘤位于直肠后尾骨前
图片尺寸640x1137
另外有些病人尾骨痛可能与盆腔炎,腰椎间盘突出,类风湿关节炎,骶髂
图片尺寸720x540
x 骶椎原发性骨淋巴瘤1例 患者 男性,50岁,因骶尾部酸痛2年余
图片尺寸417x300
尾椎骨上的"水泡",真让人"上头"
图片尺寸864x531
进行性后背部疼痛骶尾椎脊索瘤
图片尺寸640x646
骶尾部囊肿
图片尺寸1840x3264
将藏匿在"尾巴骨"的巨大肿瘤彻底"制服"
图片尺寸650x443
3,骶尾椎脊索瘤(点击链接可查看)骶尾椎脊索瘤手术1例
图片尺寸817x938
骶尾部肿瘤及肿瘤样病变影像诊断
图片尺寸1080x608
骶尾椎病变的诊断思路
图片尺寸1280x960
骶尾部脊索瘤如何进行影像诊断?一篇搞定!
图片尺寸960x720
骶尾部肿瘤
图片尺寸680x510
骶尾骨肿瘤致神经源性膀胱病人恢复排尿,深圳肖传国医院再添治愈案例
图片尺寸1481x996
7种骶骨肿瘤影像表现
图片尺寸1070x712
骶尾部肿瘤及肿瘤样病变影像诊断
图片尺寸1080x608
骶骨巨大神经鞘瘤手术 - 好大夫在线
图片尺寸960x720
尾椎骨
图片尺寸400x293