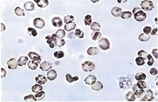
尿液脓细胞

脓细胞.jpg
图片尺寸540x403
其它 2018年细胞形态学培训考试 a:白细胞管型 b:脓细胞 c:肾小管上皮
图片尺寸2515x1764
求助尿检检验科的老师们看看这是不是脓细胞呀
图片尺寸4160x3120
均一性红细胞非均一性红细胞3,白细胞和脓细胞:尿液中的白细胞和脓
图片尺寸549x364
细胞06脓细胞团05白细胞04影红细胞03皱缩红细胞02新鲜尿中正常红细胞
图片尺寸1031x751
尿液白细胞高的原因是什么
图片尺寸400x400
尿白细胞
图片尺寸200x188
图片浏览
图片尺寸250x192
非均一性红细胞3,白细胞和脓细胞:尿液中的白细胞和脓细胞增多常见于
图片尺寸551x358
图 7 小管上皮细胞管型,多见于急性肾小管坏死图 6 红细胞管型图 5
图片尺寸1113x456
(右)光镜下的透明管型图 4 白细胞,其中其中死细胞称脓细胞,(左)中性
图片尺寸1000x1014
宠物医院 求问这个粪便直接镜检里面有什么啊
图片尺寸1080x809
丁香园论坛 - 专业医生社区,医学,药学,生命科学,科研学术交流
图片尺寸780x1040
【图】尿白细胞偏高的原因是什么 关爱自己更关心你
图片尺寸460x345
细胞06脓细胞团05白细胞04影红细胞03皱缩红细胞02新鲜尿中正常红细胞
图片尺寸655x652
尾行上皮细胞07肾小管上皮细胞06脓细胞团05白细胞04影红细胞03皱缩红
图片尺寸546x559
不同程度的尿急及尿频,排尿刺痛,特别是当尿液较为浓缩的时候明显
图片尺寸650x665
尿液静置或离心沉积后的有形成分,有细胞,管型和结晶等.
图片尺寸546x551
按照尿液常规检测的复检规则,对这个标本进行了镜检,镜下除了红细胞2
图片尺寸660x557
白细胞管型:因管型内容物为中性粒细胞或脓细胞,且细胞面积占管型的1
图片尺寸750x557