岩尖ct解剖图

头颅ct解剖及诊断ppt
图片尺寸1080x810
综述岩尖病变的影像
图片尺寸1020x746
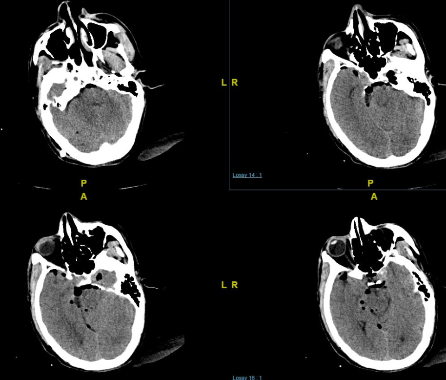
岩骨尖部异常请会诊年轻女性头痛
图片尺寸1739x1307
(a)轴位ct显示左侧岩尖不规则侵蚀和典型的虫蛀外观.
图片尺寸802x698
颞骨正常ct解剖附图
图片尺寸920x1302
头颅ct影像解剖ppt
图片尺寸1080x810
术前头颅ct可见右侧岩尖部高密度影复旦大学附属肿瘤医院神经外科郝斌
图片尺寸1041x790
岩尖胆脂瘤分型 - 听言静行
图片尺寸1098x874
解剖影像头部解剖及ct影像
图片尺寸1080x662
头颅ct解剖图片ppt
图片尺寸1080x810
头部ct影像解剖
图片尺寸1080x671
断面解剖与mri ct ect对照
图片尺寸1058x938
颞骨正常ct解剖附图
图片尺寸920x1302
最全颞骨详细ct解剖
图片尺寸720x540
图解颈部ct影像阅片及诊断报告要点_解剖
图片尺寸1080x608
王国良教授:岩尖区肿瘤的显微手术策略
图片尺寸960x720
病例结果:颞骨岩尖部病变编辑/校对:郑孝飞平扫mr女,66岁,因"头晕2月
图片尺寸960x720
头颅ct解剖ppt
图片尺寸1080x810
手术切除岩尖脑膜瘤
图片尺寸914x778
珍藏颅脑ct断面解剖彩色图谱
图片尺寸998x567