岩骨ct

岩骨尖部异常请会诊年轻女性头痛
图片尺寸1739x1307
病例一,左侧岩骨,cpa区胆脂瘤.
图片尺寸4608x3456
轴位ct (a)显示左侧岩枕裂中心侵蚀(箭头),伴左侧岩骨ica相邻壁侵蚀.
图片尺寸1020x746
贺晓生教授:岩骨斜坡区脑膜瘤手术实例视频
图片尺寸930x783
腰椎骨质破坏一例在线等各位大虾意见
图片尺寸1936x2592
头颅ct解剖及诊断ppt
图片尺寸1080x810
这个椎体上骨质破坏会是什么?
图片尺寸1001x1025
病例一,左侧岩骨,cpa区胆脂瘤.
图片尺寸4608x3456
最全颞骨详细ct解剖
图片尺寸720x540
影像学表现:右侧颞骨岩部骨质破坏,边缘硬化,周围可见软组织肿块,增强
图片尺寸960x720
颅底详细断层解剖
图片尺寸640x480
第1段:颅内段,长23-24mm 第2段:内耳道段,长7-8mm 第3段:岩骨内段
图片尺寸579x682
高能加速器ct多场耦合岩石三轴试验系统-长春市镨策试验仪器有限责任
图片尺寸601x498
a,b术前岩骨ct可见左侧颈静脉孔扩大,岩骨破坏明显,但是颈静脉孔的
图片尺寸1080x411
腰椎骨质破坏一例在线等各位大虾意见
图片尺寸2592x1936
卵圆孔;4.棘孔;5.破裂孔; 6.枕大孔;7.枕外隆突;8.鼻骨;9.眶下孔;10.
图片尺寸397x412
第1段:颅内段,长23-24mm 第2段:内耳道段,长7-8mm 第3段:岩骨内段
图片尺寸579x681
术后岩骨ct骨窗像可见岩骨磨除范围,b图红色区域为迷路,迷路下经韧换
图片尺寸763x424
腰椎体穿凿样溶骨性破坏,等你分析 | 读片专栏1060期
图片尺寸1080x989
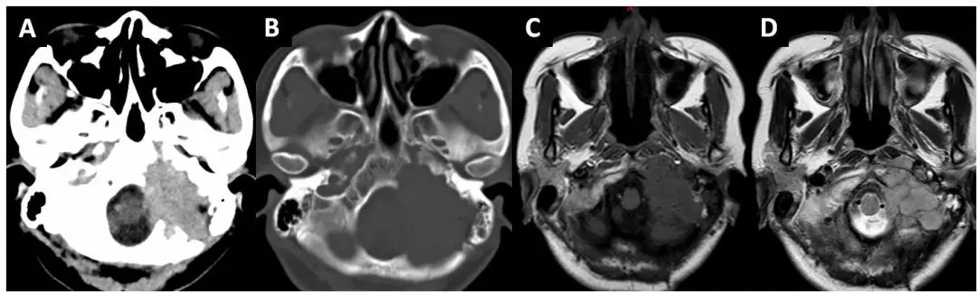
a术前头部ct平扫肿瘤位于左侧岩骨内高密度;b术前岩骨ct见岩骨破坏
图片尺寸1080x323