左位

苏教版二年级数学下册《千以内数的读写》课件从右边起, 第一位是个位
图片尺寸1080x810
方位角: ∠1.北偏东60° 北 ∠2.北偏西30° ∠3.
图片尺寸1080x810
商标文字左位商标注册号 58160152,商标申请人海宁诺瓦服饰有限公司的
图片尺寸600x400
小学一年级数学教学课件 10个一是1个十 百位十位个位 38 17= 55
图片尺寸1080x810
心脏位置是心脏轴线指向左下方,心尖在左侧胸腔者,即正常心脏为左位心
图片尺寸450x301
表示多少? 十位 个位
图片尺寸1080x810
十位 个位 十位 个位 ___ 个十, ___ 个一.
图片尺寸1080x810
青岛版小学一年级数学上册第四单元认识位置ppt
图片尺寸1080x810
最新审定青岛版数学一年级上册上第四单元认识位置信息窗1 (1)(优秀
图片尺寸1080x810
第六节 心脏大血管摄影 照 片左 示侧 意位
图片尺寸1080x810
最新北师大版数学一年级上册《位置与顺序》复习ppt精品课件2答案
图片尺寸1080x810
新北师大版小学四年级上册数学第五单元《确定位置ppt课件》
图片尺寸1080x810
左旋心右旋心中位心镜面右位心你都弄清楚了
图片尺寸469x295
左位粉太爽
图片尺寸1080x1343
一,永存左位上腔静脉
图片尺寸960x1084
记住2个数据的话,看不了,因为每个b超师获取孕囊的方位不一样,所以不
图片尺寸474x263
先天性心脏病的超声诊断_左心
图片尺寸1080x810
图片左位是一位中国小患者,右边是英国医学博士梅藤更.
图片尺寸438x247
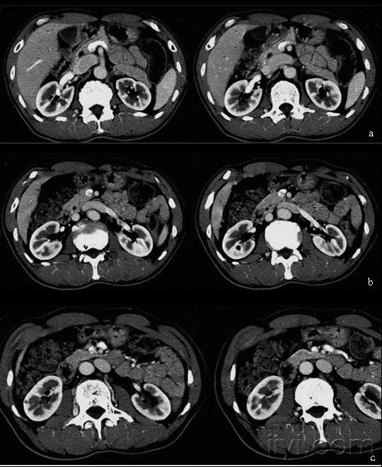
左位下腔静脉
图片尺寸540x661
一,永存左位上腔静脉
图片尺寸2400x900