左侧位

【百科】左侧卧真的会压迫心脏吗?_侧卧位_姿势_血液
图片尺寸510x273
左侧踝关节侧位
图片尺寸2000x2667
孕检胎位loa左枕前位脐带绕颈一周能顺产吗
图片尺寸800x499
跖跗关节完全脱位伴第2,4跖骨头骨折
图片尺寸2000x2667
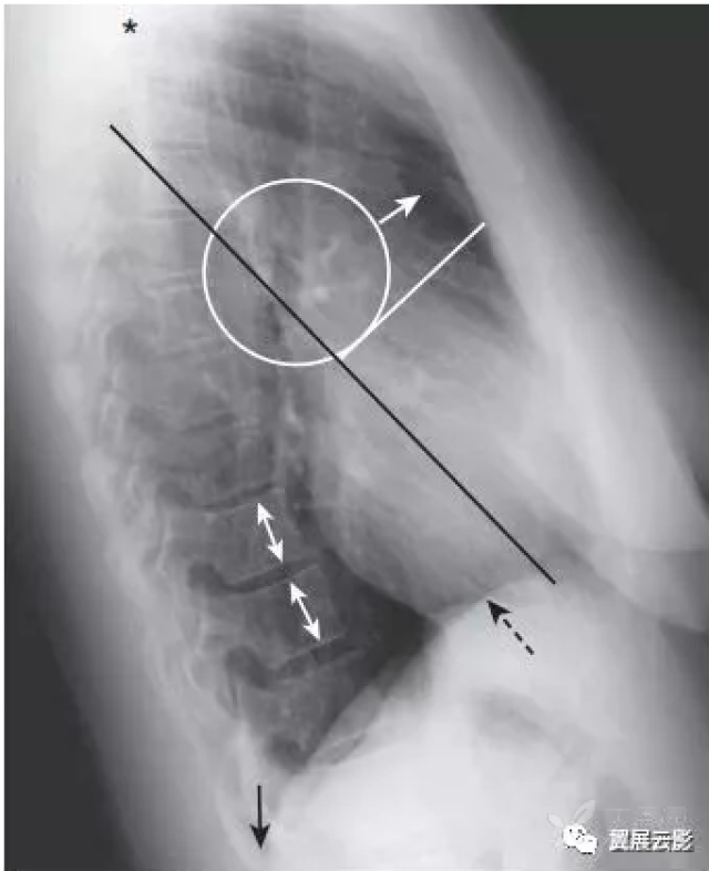
图2-2:正常左侧位x线胸片
图片尺寸640x786
怀孕检查左枕位是什么意思(孕检左枕前位是什么意思)
图片尺寸640x465
正常心脏后前位及左侧位x线表现
图片尺寸1080x810
胎位 检查是指专业人员通过触摸判断或 2018-09-07 16:29:47博主
图片尺寸286x325
侧位胸片,这 5 个关键区域一定要记清
图片尺寸640x770
胎方位 骶右后(lsp) 肩左前(lsca)
图片尺寸1080x810
影像诊断实习ppt 投照体位
图片尺寸1215x810
胎儿以及胎位 胎儿大小以及胎方位直接影响能否阴道分娩.
图片尺寸1080x810
看图左髋关节正侧位看有没有事
图片尺寸4208x2368
受检者向左侧卧位,左下肢略屈,右下肢屈曲贴近腹部.
图片尺寸640x360
第六节 心脏大血管摄影 照 片左 示侧 意位
图片尺寸1080x810
胎儿臀位是什么意思 - 造成原因 - 纠正方法_怀孕_试管婴儿百科-孕儿
图片尺寸757x410
胎方位示意图_有来医生
图片尺寸1080x810
写美篇 病例二 78岁老年男性,在家中摔倒,左侧股骨转子间骨折
图片尺寸2000x3022
胎位检查产检
图片尺寸1952x3080
睡发明孕妇要左侧睡的太难受了
图片尺寸1080x1439