左心耳ct增强

左心耳ct三维重建:评估指南与注意事项
图片尺寸1316x1736
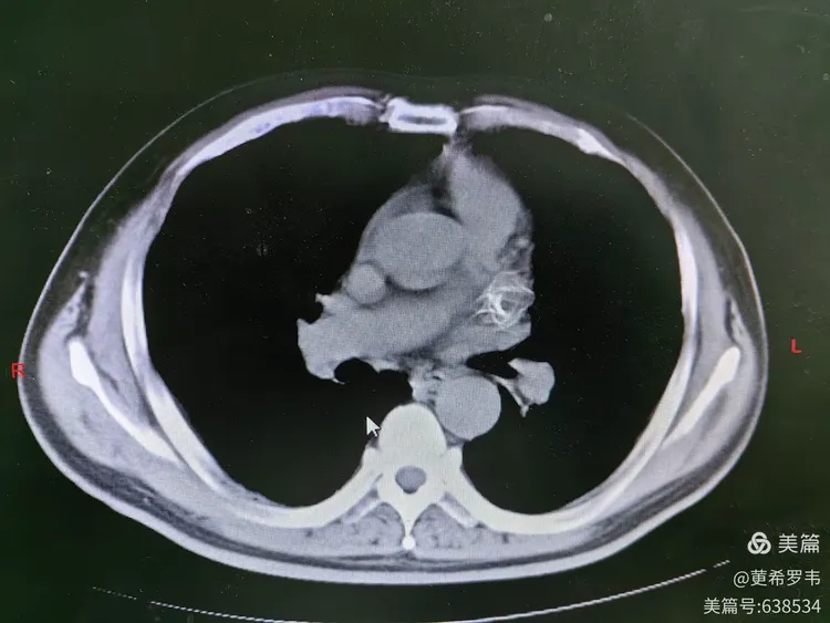
左心耳cta测量
图片尺寸750x1667
「耳术能详」flx丨随访病例专栏:敞口鸡翅型左心耳
图片尺寸580x570
左心耳cta测量
图片尺寸750x1667
左心耳cta测量
图片尺寸750x1667
左心耳cta测量
图片尺寸750x1667
左心耳封堵术后ct表现
图片尺寸750x563
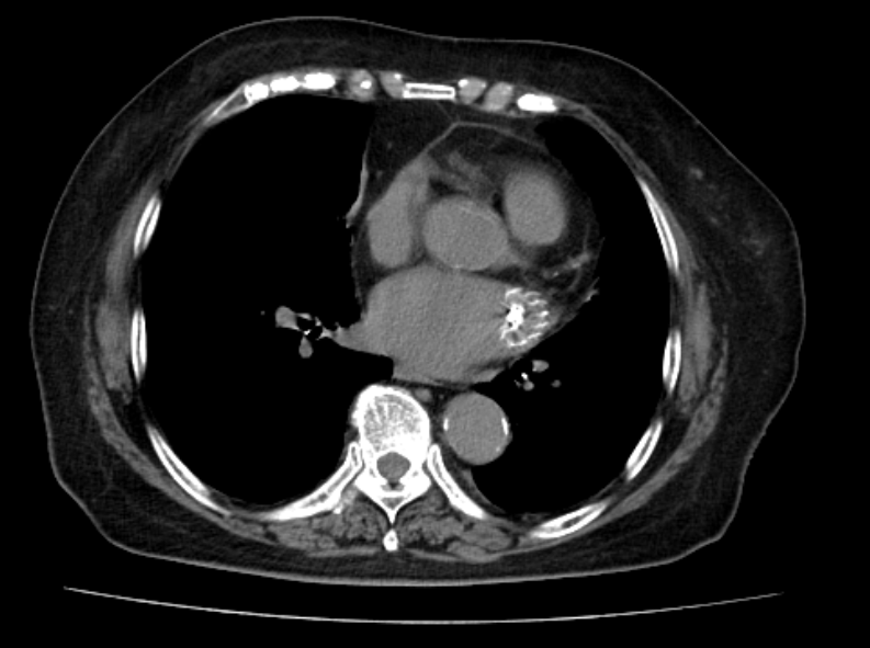
心房颤动患者左心耳血栓的诊断
图片尺寸764x478
术前cta患者入院诊断及评分术者:燕翼 教授医院:广州医科大学附属第三
图片尺寸1080x810
结合术前左心房增强ct影像学显示的左心耳解剖特点,团队最终决定应用
图片尺寸802x624
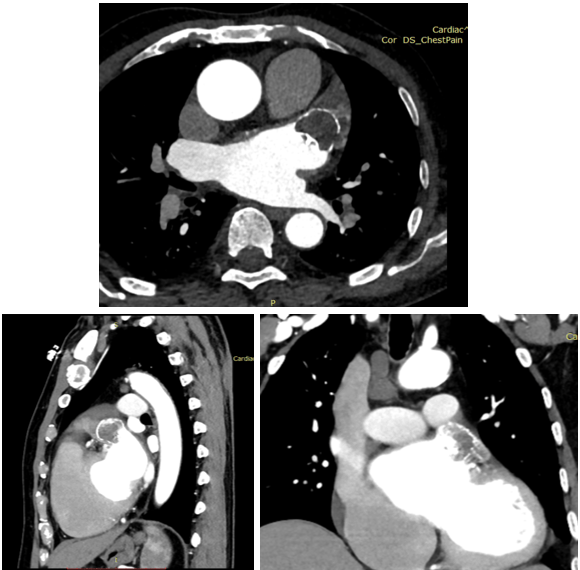
左心耳封堵相关的心脏解剖与影像
图片尺寸1080x608
左心耳cta测量
图片尺寸750x564
左心耳cta测量
图片尺寸750x1667
「耳术能详」flx丨wm flx完美封堵低位极浅短上缘左心耳一例
图片尺寸793x591
冠脉cta双房增大,二尖瓣轻度反流la 38mm,lvdd 50mm,ef 65%心
图片尺寸1080x810
反复出现奇怪晕厥病因成谜查房时这个细节点醒医生
图片尺寸660x561
昨天不小心摔了一跤,磕到头了, 过来做了个ct
图片尺寸1260x1260
病例左心耳封堵术后表面血栓形成1例
图片尺寸4098x3072
心脏ct三维分析在简化式左心耳封堵术中的应用研究
图片尺寸780x702
左心房ct造影,延迟期左心耳远端小片状低密度充盈缺损
图片尺寸3072x4096