左心耳ct解剖

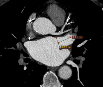
术前ct评估:心耳内确认无血栓,测量心耳开口21.6mm,深度29mm
图片尺寸419x355
储慧民:左心耳封堵联合房颤导管消融的进展·365医学网
图片尺寸442x383
左心耳ct三维重建报告的评估模板1,左心耳血栓:存在造影剂充盈缺损
图片尺寸1080x1439
耳解剖及常见疾病影像表现_处理
图片尺寸1080x810
术前cta:左心耳开口切面利用ct数据三维重建获悉,左心耳开口长轴26.
图片尺寸522x434
病例左心耳封堵术后表面血栓形成1例
图片尺寸4098x3072
eurradiol心房颤动患者左心耳血栓的诊断延迟对比增强心脏ct
图片尺寸764x478
附属医院|郭宁主任团队完成一例浅深度反鸡翅型高难度左心耳封堵手术
图片尺寸944x945
20815mm25318mm以凡人之力活健康左心耳封堵血栓的防火墙以凡人之力
图片尺寸1080x1440
耳部正常ct(冠位 轴位)
图片尺寸2048x1536
左心耳和肺静脉
图片尺寸1080x1439
心脏ct三维分析在简化式左心耳封堵术中的应用研究
图片尺寸780x702
不绝于"耳":左心耳解剖及影像要点汇总
图片尺寸640x484
心脏ct三维分析在简化式左心耳封堵术中的应用研究
图片尺寸788x851
不绝于"耳":左心耳解剖及影像要点汇总
图片尺寸640x401
中耳,内耳解剖很多,很难?一个视频教会你如何在ct上观察!
图片尺寸1920x1080
【知彼邻域】储慧民|左心耳封堵ct影像评估指导与标准化手术操作流程
图片尺寸1920x1080
宝鸡第三医院成功开展首例房颤射频消融 左心耳封堵一站式手术
图片尺寸600x667
ct心脏断面解剖
图片尺寸920x690
ct心脏解剖位置#医学影像 #医学生 #医生日常 #规培 # - 抖音
图片尺寸952x488