左第5跖骨骨折正常图

第五跖骨骨折快两个月了都没好
图片尺寸1536x2048
左脚第五跖骨骨折
图片尺寸1536x2048
左脚第五跖骨骨折
图片尺寸1536x2048
第五跖骨基底骨折.
图片尺寸1440x2636
左脚第五趾骨基底骨折恢复过程记录 - 知乎
图片尺寸720x1058
脚第5跖骨骨折35 - 知乎
图片尺寸4344x5792
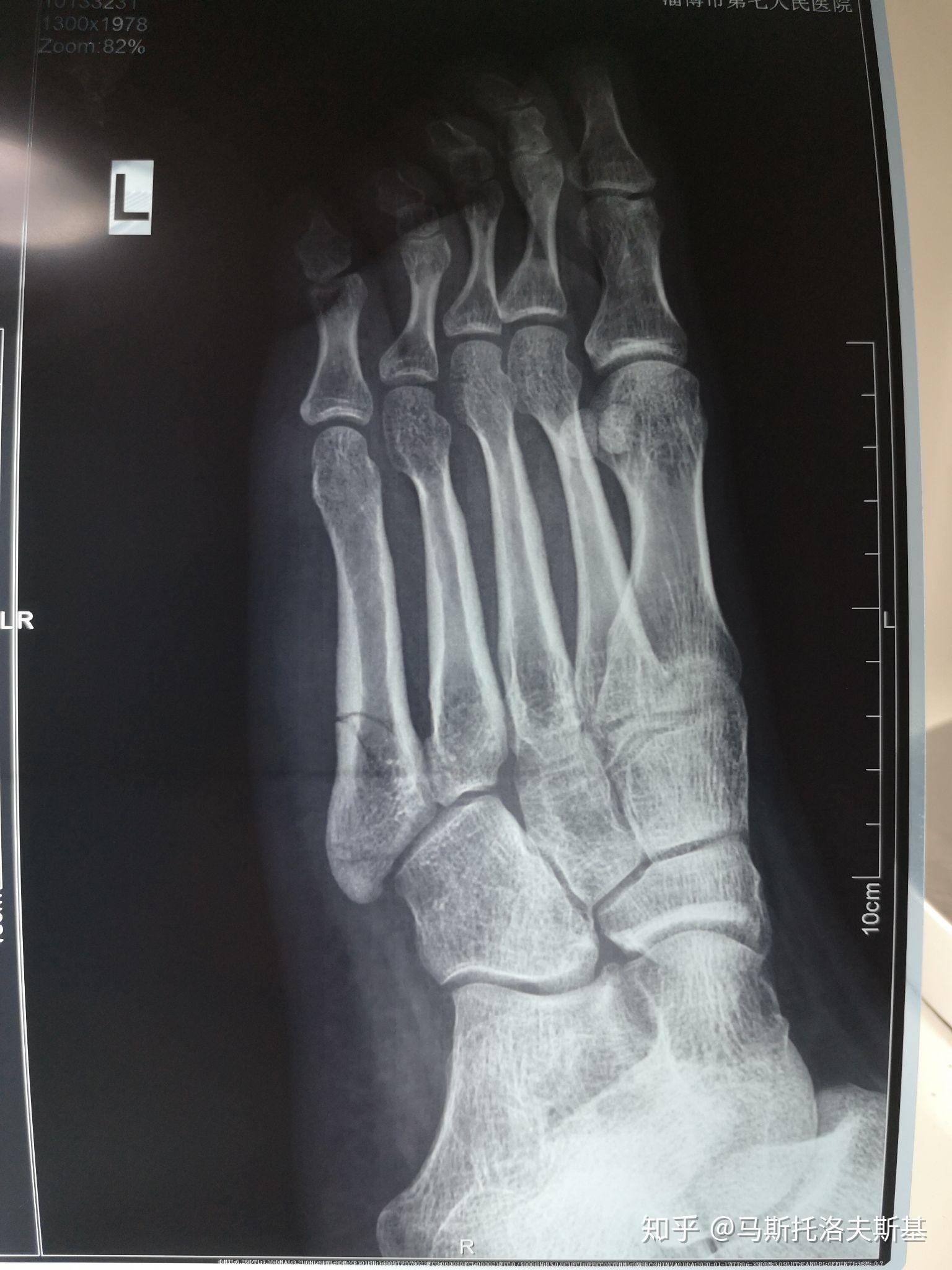
左足第五跖骨基底部骨折
图片尺寸1488x1984
x线诊断为左足第5跖骨基底部骨折,请问严重吗?如何尽快恢复?
图片尺寸3072x2304
x线诊断为左足第5跖骨基底部骨折,请问严重吗?如何尽快恢复?
图片尺寸3072x2304
第五跖骨骨折1个月 从2月13到3.14,骨折30天了,满一个月了.
图片尺寸900x1280
左脚第五跖骨基底部骨折
图片尺寸885x1180
左脚第五跖骨骨折
图片尺寸1536x2048![第五跖骨基底部骨折术后骨髓炎 [病例帖]](https://i.ecywang.com/upload/1/img2.baidu.com/it/u=2863938204,3113606243&fm=253&fmt=auto&app=138&f=JPEG?w=889&h=500)
第五跖骨基底部骨折术后骨髓炎 [病例帖]
图片尺寸5312x2988
左脚跖骨第五基地骨骨折
图片尺寸1536x2048
左足第五跖骨基底部骨折!
图片尺寸1200x1600
宁折不弯——左脚第五跖骨基底粉碎性骨折 随记三个月 - 知乎
图片尺寸1535x2048
第五跖骨基底部骨折2020
图片尺寸974x1731
左足第五跖骨
图片尺寸1140x1430
左脚第5趾骨骨折 之 治疗 生活日常记录(2021.11.
图片尺寸3024x4032
脚第5跖骨骨折35 - 知乎
图片尺寸4344x5792