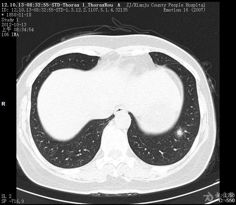
左肺下叶小结节

这个爱美女士的肺部小结节暂时不需要手术! - 好大夫在线
图片尺寸1107x1080
左肺下叶小结节灶,请会诊
图片尺寸763x664
62岁男性病人,2016年体检发现左肺下叶小结节(图1,图2)
图片尺寸628x484
俯卧位:左肺下叶结节灶.
图片尺寸2000x4000
图3-21女,24岁.左肺下叶结节影,内多发空洞,可见分隔带 - 抖音
图片尺寸1702x1276
同样是左肺小结节为什么一个建议手术一个不
图片尺寸1274x1600
左下肺背段见分叶状结节影,会是什么?
图片尺寸640x512![左下肺磨玻璃结节,求大神看片 [病例帖]](https://i.ecywang.com/upload/1/img2.baidu.com/it/u=1777723011,521478161&fm=253&fmt=auto&app=138&f=JPEG?w=500&h=667)
左下肺磨玻璃结节,求大神看片 [病例帖]
图片尺寸756x1008
我是医生,体检发现左肺下叶一毛刺状结节,请各位大神帮我看看
图片尺寸540x960
【影像读片】体检发现,左下肺结节影.
图片尺寸4000x3000
左肺下叶小结节性质重发大量原图
图片尺寸4208x2368
56岁女性,发现左下肺结节1周.
图片尺寸1600x1200
左下肺结节,良性?
图片尺寸1080x1080
患者无吸烟史,ct提示:左肺下叶后基底段小结节,境界尚清,大小6乘以5mm
图片尺寸300x225
一照ct肺有小结节我会是肺癌吗
图片尺寸1840x3264
左肺下叶小结节
图片尺寸512x512
左肺下叶实性结节微创
图片尺寸1680x3648
我两边都有肺小结节,我爸爸就是肺癌去世的,我好怕!
图片尺寸1840x1857
左下肺结节,良性?
图片尺寸1080x1080
【图】介绍左肺下叶小结节病情 建议及时就医防止病情扩散
图片尺寸400x400