巨细胞病毒图片

巨细胞病毒iggigm不止性传播4种病因千万别忽视
图片尺寸800x500
孕妇感染巨细胞病毒别认为不严重对母胎影响都不能忽视
图片尺寸800x500
巨细胞病毒,疱疹病毒科dna病毒
图片尺寸1200x800
血液中的巨细胞病毒,360度球形全景图
图片尺寸1200x600
3分钟弄懂巨细胞病毒是什么别再和艾滋病给混为一谈了
图片尺寸800x500
巨细胞病毒经胎盘传播
图片尺寸1200x800
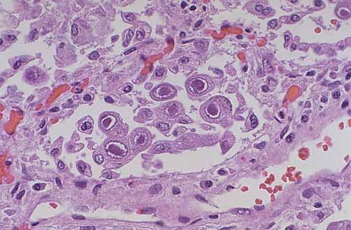
人巨细胞病毒
图片尺寸268x310
生命早期的人巨细胞病毒感染(一)
图片尺寸815x485
大部分感染了巨细胞病毒的携带者会伴随一辈子吗
图片尺寸600x450
巨细胞病毒检查结果解读iggigm指标正常值范围参考
图片尺寸800x500
感染巨细胞病毒并非不能治愈3大治疗手段来助力
图片尺寸800x500
巨细胞病毒,疱疹病毒科dna病毒
图片尺寸1100x1100
p>巨细胞病毒(cytomegalovirus)是一种 a href="#">疱疹病毒 /a>组
图片尺寸504x331
发现巨细胞病毒的免疫逃避策略
图片尺寸494x355
巨细胞病毒,疱疹病毒科dna病毒
图片尺寸1200x800
巨细胞病毒是什么 巨细胞病毒检查及预防
图片尺寸504x332
3分钟弄懂巨细胞病毒是什么别再和艾滋病给混为一谈了
图片尺寸800x500
血液中的巨细胞病毒,360度球形全景照片
图片尺寸600x300
巨细胞病毒信息图的结构
图片尺寸1157x1100
【认识早产儿疾病】系列科普:巨细胞病毒感染
图片尺寸504x330