带蒂绒毛状腺瘤

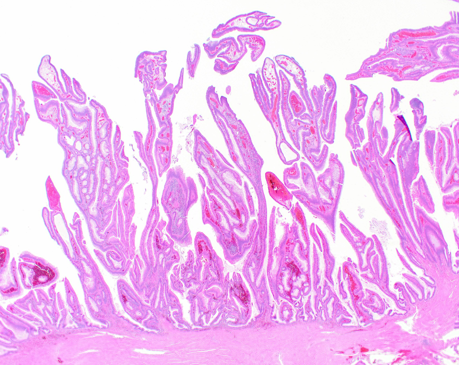
病理提示:绒毛管状腺瘤,部分区腺体中度异型增生.
图片尺寸1600x1200
有蒂绒毛状腺瘤,eus呈不均匀的粘膜低回声影
图片尺寸978x575
管状线瘤的绒毛成分在20%以下,绒毛状腺瘤的绒毛成分在80%以上,绒毛状
图片尺寸640x370
绒毛管状腺瘤影像表现
图片尺寸1080x608
120健康网 疾病 乳头状腺瘤 上传图片 疾病别名:绒毛状腺瘤 就诊科室
图片尺寸183x136
or 绒毛管状腺瘤?
图片尺寸360x270
毛发腺瘤
图片尺寸1280x960
结肠息肉,管状绒毛状腺瘤,够不够伴高级别上皮内瘤变?
图片尺寸718x542
绒毛管状腺瘤影像表现
图片尺寸1080x607
结肠绒毛状腺瘤 课件.ppt
图片尺寸1152x864
直肠绒毛管状腺瘤癌变吗?
图片尺寸800x600
最后诊断:管状_绒毛状腺瘤伴高级别上皮内瘤变,局部癌变.
图片尺寸1080x1201
(a)嗜酸性粒细胞增多是典型的锯齿状腺瘤(tsa)的代表,并且这与绒毛状
图片尺寸690x1035
光镜下组织形态如图所示最有可能的诊断是
图片尺寸561x414
虽然肠镜的检查结果显示这为横结肠的绒毛状腺瘤,但由于取材较浅
图片尺寸364x273
结肠绒毛-管状腺瘤
图片尺寸4032x3024
丛状纤维组织细胞瘤
图片尺寸591x472
结肠绒毛-管状腺瘤
图片尺寸4032x3024
直肠绒毛状腺瘤局部发生癌变
图片尺寸544x377
回盲部绒毛状管状腺瘤一例
图片尺寸680x529