常染色质

常染色质
图片尺寸421x384
染色体是遗传物质,基因的载体,人类的常染色体是成对存在的.
图片尺寸940x647![dna 染色质丝 蛋白质 染色体 染色质 [丝状] 分裂间期 螺旋化,贝种](https://i.ecywang.com/upload/1/img0.baidu.com/it/u=2121108145,790346328&fm=253&fmt=auto&app=138&f=JPEG?w=667&h=500)
dna 染色质丝 蛋白质 染色体 染色质 [丝状] 分裂间期 螺旋化,贝种
图片尺寸1080x810
染色质按其 形态特征,活性状态和染色性能区分为两种类型:常染色质和
图片尺寸610x460
浅谈男性染色体异常和不育症_男性不育_介绍_发病原因 - 好大夫在线
图片尺寸640x513
所有分类 高中教育 理化生 高二理化生 第二节基因工程操作步骤染色质
图片尺寸1080x810
姐妹染色单体 (sister chromatids) 着丝粒 (centromere) 染色质
图片尺寸1080x810
常染色质:基因表达 活跃的区域,染色体结 构较为疏松 2.
图片尺寸1080x810
特征 常染色质 异染色质 数量和分布 一般占染色体的极大部分 染色
图片尺寸1080x810
染色体
图片尺寸530x443
2基因在亲子代间的传递ppt
图片尺寸1080x810
【羊水染色体报告无异常,能不能证明孩子健康】染色体核型虽然是
图片尺寸1017x896
染色质与染色体ppt
图片尺寸1913x1275
胞核:较圆,多居中,占胞体4/5左右,呈紫红色(较原粒深),染色质紧
图片尺寸4000x3000
染色质
图片尺寸1080x810
《药学分子生物》ppt课件.ppt
图片尺寸920x690
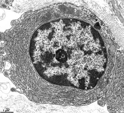
无颗粒,核染色质以常染色质为主(透射电镜)引自文献24【免疫表型】1
图片尺寸410x307
随体 随体柄(次级缢痕) 短臂 (p) 中 期 染 色 体 结 构 常染色质区
图片尺寸1080x810
(3)y染色体:y染色体是男性特有的性染色体,其长度变异具有遗传效应且
图片尺寸1200x828
正常男性的染色体分组图 正常女性的染色体分组图 相同染色体,不同
图片尺寸1080x810