平板克隆结果图

a549细胞平板克隆形成实验 结果和mtt不一致,改怎么强行解释呢,克隆
图片尺寸3265x2449
得不到阳性克隆可能是忽视了这些细节
图片尺寸629x449
求助平板克隆实验
图片尺寸3388x3024
平板克隆实验,图片怎么样
图片尺寸1290x1296
平板克隆形成实验 - 知乎
图片尺寸570x398
cyclovirobuxine d inhibits cell proliferation and
图片尺寸1913x1413
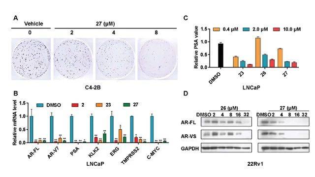
结果显示,化合物 xy101 可以抑制多种前列腺癌细胞的增殖与克隆形成
图片尺寸640x360
> 向平板克隆形成报修
图片尺寸285x200
one step cloning kit(灵活多变的一体化超快速克隆试剂盒)(c115)价格
图片尺寸1210x450
关于平板克隆形成实验
图片尺寸4032x3024
各组u251细胞克隆形成结果
图片尺寸960x912
(4) 克隆计数及结果分析:用肉眼直接计数克隆数,最后计算克隆形成率.
图片尺寸391x195
得不到阳性克隆可能是忽视了这些细节
图片尺寸646x510
细胞克隆形成实验
图片尺寸560x446
细胞克隆形成实验
图片尺寸610x216
细胞的克隆形成你必须要知道的事
图片尺寸809x858
图 3 | 通过克隆形成实验评估的体外放射增敏效率.
图片尺寸1080x1469
克隆——转化,涂平板后37℃培养17h后菌落才这么点儿大
图片尺寸800x599
经过培养,在抗性平板上筛选克隆子,建立原始种子库
图片尺寸764x1142
细胞克隆
图片尺寸1440x1080