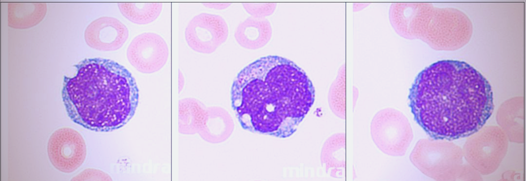
幼单核细胞图片

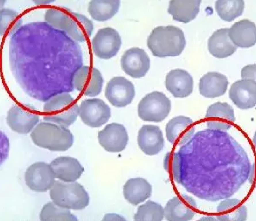
急性粒-单核细胞白血病(m4)
图片尺寸1280x811
幼单核细胞
图片尺寸300x260
急性粒-单核细胞白血病(m4)
图片尺寸1280x800
兔抗单核细胞抗体(ama)elisa试剂盒操作步骤
图片尺寸300x160
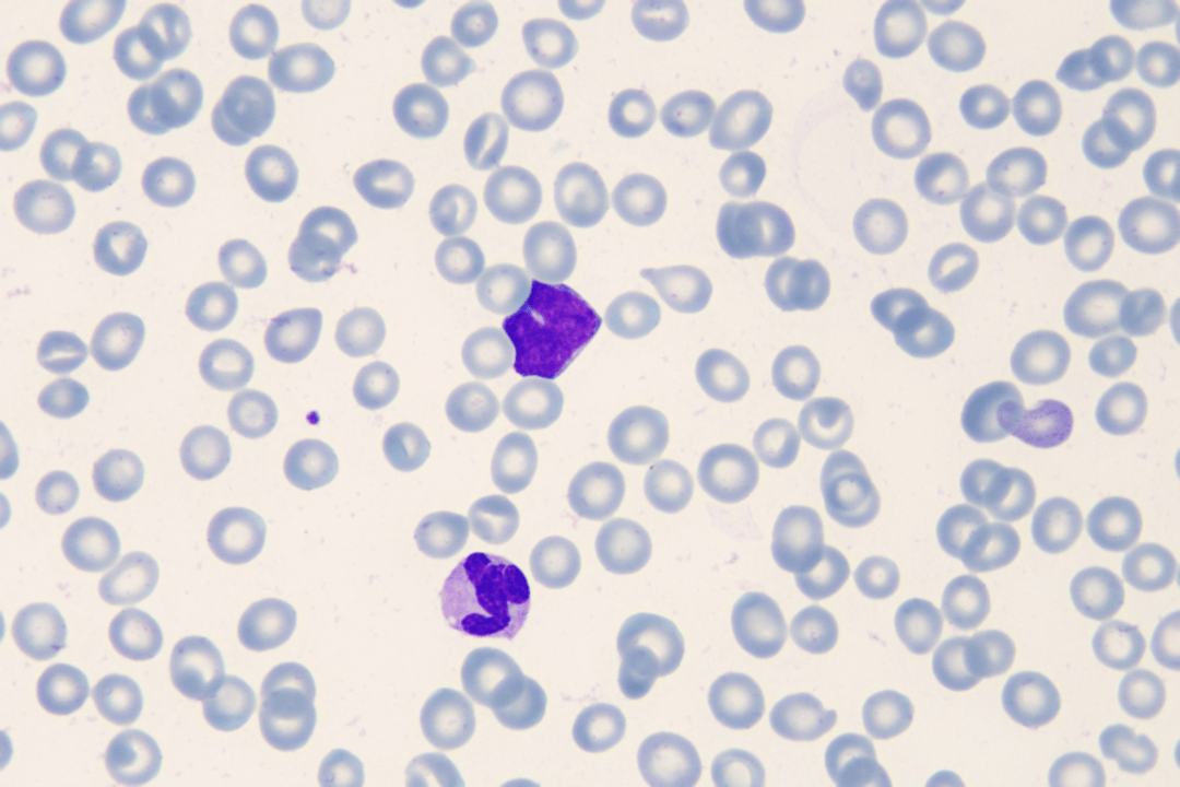
单核细胞
图片尺寸2448x3264
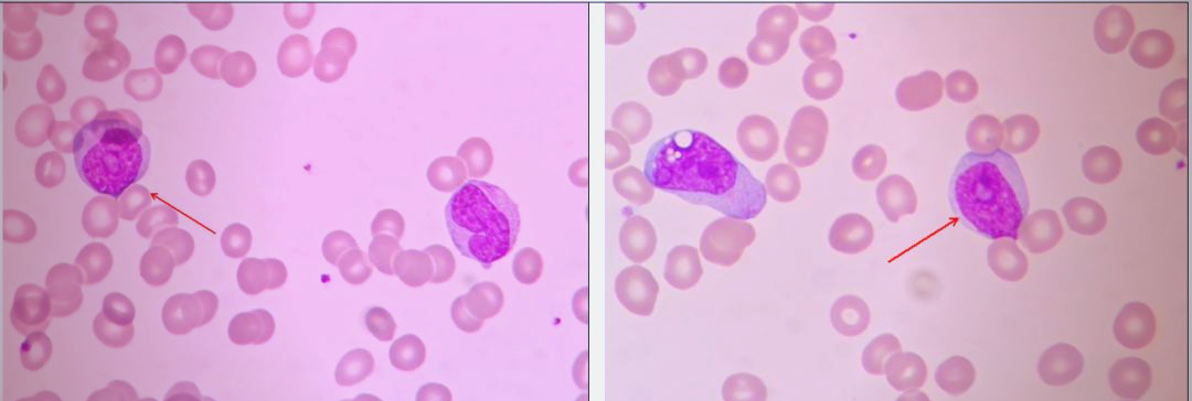
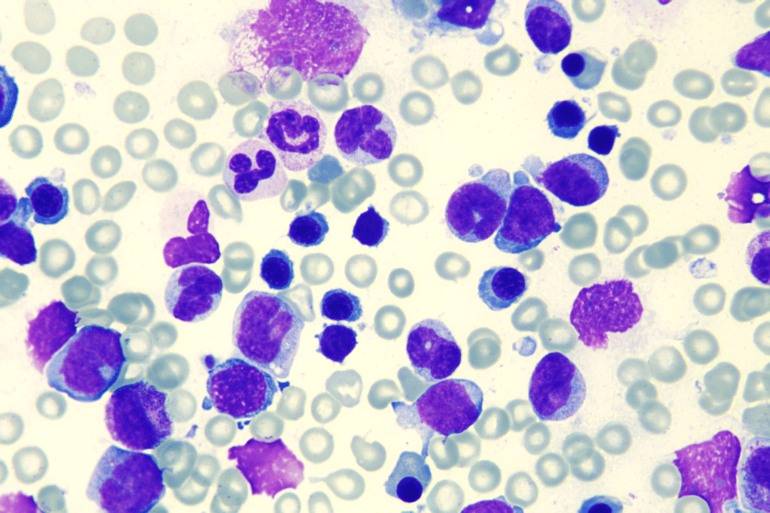
图为单核细胞增多,可见幼单 提示jmml,cmml可能
图片尺寸1000x750
其它 基础细胞形态 写美篇 答案:原幼单核细胞 形态特征:细胞胞体圆形
图片尺寸2572x1286
幼稚单核细胞 3. 中性中幼粒细胞 4. 中性杆状核粒细胞 1.
图片尺寸1140x856
thp-1 人单核细胞白血病细胞系
图片尺寸1148x862
( 2 ) m4b :原,幼衷缬琢细胞图片细胞形态 m4原始单核细胞
图片尺寸1080x720
▼ 3 中幼红细胞 ▼ 5 成熟单核细胞
图片尺寸960x720
5,单核细胞
图片尺寸1080x810
幼年型粒单核细胞白血病,儿童早期罕见骨髓增生异常综合征
图片尺寸499x375
22 来源:骨髓-瑞氏染色 「幼稚单核细胞」 23 来源
图片尺寸1080x608
看图识细胞(第78期)_胞核
图片尺寸750x750
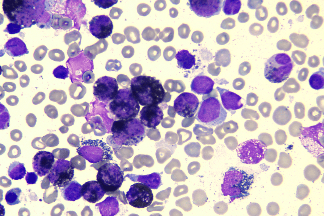
粒细胞系和单核系细胞并存,×1000
图片尺寸343x266
▼9,双核早幼红细胞:胞体呈圆形或椭圆形;胞浆量多,呈不透明蓝或深
图片尺寸750x750
原始粒细胞 原始淋巴细胞 原始单核细胞
图片尺寸1080x810
5-60年代 手绘 山东医学院挂图一张 单核细胞系统 尺寸149*103厘米
图片尺寸640x480
关节液里的原幼单核细胞
图片尺寸750x623