幽门螺杆菌染色

普洱市人民医院病理科开展幽门螺旋杆菌(hp)免疫组化染色
图片尺寸453x352
各位老师,我在做胃黏膜中幽门螺杆菌的培养,培养基中添加了万古霉素
图片尺寸3264x2448
幽门螺旋杆菌感染症1
图片尺寸757x874
幽门螺旋杆菌性胃炎
图片尺寸2048x1536
人民医院病理科通过一项特殊技术(免疫组织化学染色)来查找幽门螺杆菌
图片尺寸1080x1174
幽门螺杆菌(甲基蓝染色)
图片尺寸1080x810
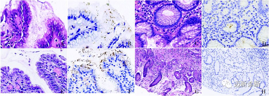
免疫组化染色与0166c尿素呼气试验在幽门螺杆菌相关胃炎诊断中的
图片尺寸937x334
幽门螺杆菌感染的预防_胃幽门螺杆菌感染_胃幽门螺杆菌感染如何预防
图片尺寸497x677
舒奈美 幽门螺杆菌染色液 hp自测盒家用自检居家通用快速非吹气呼气卡
图片尺寸800x800
幽门螺杆菌检查方法有哪些,如何去选择
图片尺寸984x512
病理科新项目系列之一幽门螺旋杆菌hp检测方法
图片尺寸750x1125
胃的隐形杀手,幽门螺旋杆菌_澎湃号·湃客_澎湃新闻-the paper
图片尺寸1080x720
基层医院普通白光内镜诊断幽门螺旋杆菌感染技巧详解
图片尺寸1080x901
幽门螺旋杆菌感染信号千万别忽视赶紧看看
图片尺寸552x500
幽门螺杆菌检测方法大揭秘:是呼气试验准,还是胃镜准确?
图片尺寸581x732
幽门螺杆菌感染中的阳与阴胃镜下诊断不可小觑
图片尺寸495x284
幽门螺杆菌
图片尺寸300x232
了解幽门螺旋杆菌阳性
图片尺寸1242x747
急求镜下幽门螺旋杆菌图片
图片尺寸580x476
hp代表什么最新二联疗法治幽门螺杆菌
图片尺寸1018x1598