库鲁病图片

图1-1 患有库鲁病的小孩
图片尺寸1080x810
库鲁病的潜伏期可达数年或数十年起初病人会感到头疼关节疼痛
图片尺寸640x341
恐怖的库鲁病致死率100竟是当地土著分食同类遗体导致的
图片尺寸619x306
南太平洋小岛神秘怪病,库鲁病.
图片尺寸1368x850
疯牛病病原体泄漏法国2人感染紧急叫停
图片尺寸960x639
恐怖的库鲁病致死率100竟是当地土著分食同类遗体导致的
图片尺寸620x349
不过由于法雷人的这种习俗导致他们在19世纪50年代的时候爆发了库鲁病
图片尺寸640x365
氏族福鲁族,由于参加同类相食的宗教仪式,导致库鲁病在当地大面积爆发
图片尺寸1080x1069
库鲁病的原因
图片尺寸480x300
食人族狂笑不止的恐怖库鲁病多发于妇女儿童原来她们吃了这个
图片尺寸641x346
王一方库鲁病vs疯牛病文有引力
图片尺寸840x558
恐怖的库鲁病致死率100竟是当地土著分食同类遗体导致的
图片尺寸600x428
食人族狂笑不止的恐怖库鲁病多发于妇女儿童原来她们吃了这个
图片尺寸650x436
手机搜狐网
图片尺寸1080x556
她们说病人的肉很甜不久后她们也病死了
图片尺寸839x430
库鲁病:美国科学家深入食人族破解当地恶疾之谜
图片尺寸980x625
库鲁病的原因
图片尺寸480x300
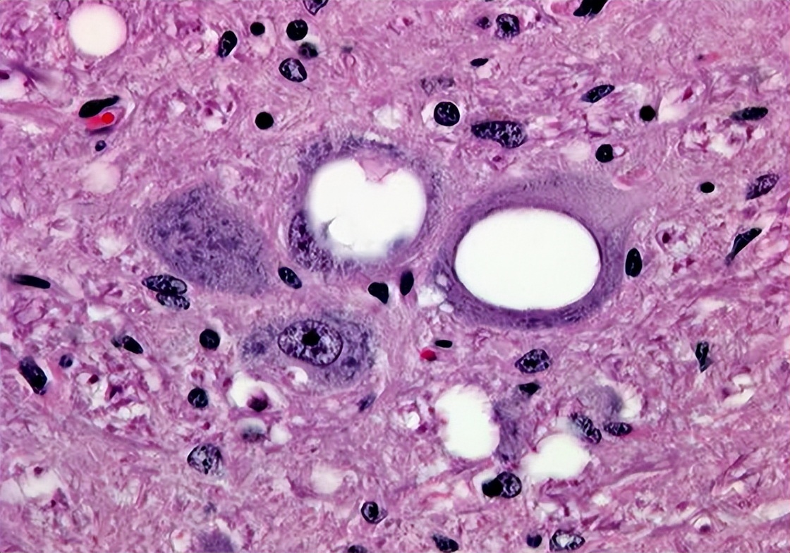
食人部落爆发库鲁病,患者在疯笑中死去,朊病毒到底有多可怕?
图片尺寸1120x784
上帝的隐秘法则,浅谈疯牛病与库鲁病,为什么动物不能同类相食
图片尺寸864x540
盖达塞克认为,库鲁病可能是由于某种细菌,病毒或其他病原微生物引起的
图片尺寸640x427