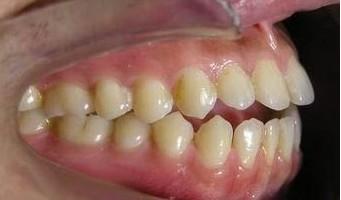
开牙合图片
![一个开牙合的患者 [病例帖]](https://i.ecywang.com/upload/1/img2.baidu.com/it/u=792788078,119612126&fm=253&fmt=auto&app=138&f=JPEG?w=500&h=333)
一个开牙合的患者 [病例帖]
图片尺寸639x426
开合.jpg
图片尺寸1500x600
【专题讨论】开(牙合),这个病案有什么好的手段和方法?
图片尺寸4000x3000
儿童牙齿开合
图片尺寸500x388
开颌矫正第一招:压低后牙,前旋下颌_梁爱燕_主治医师_爱问健康
图片尺寸4634x2719
前牙开(牙合)正面示意图
图片尺寸380x197
【专题讨论】开(牙合),这个病案有什么好的手段和方法?
图片尺寸4000x3000
使用"biobulk"技术进行直接盖髓术,治疗深层龋齿病变
图片尺寸660x376
牙齿开合矫正
图片尺寸1280x960
开牙合!
图片尺寸341x200
安氏开颌3类我的正畸之路
图片尺寸2560x1507
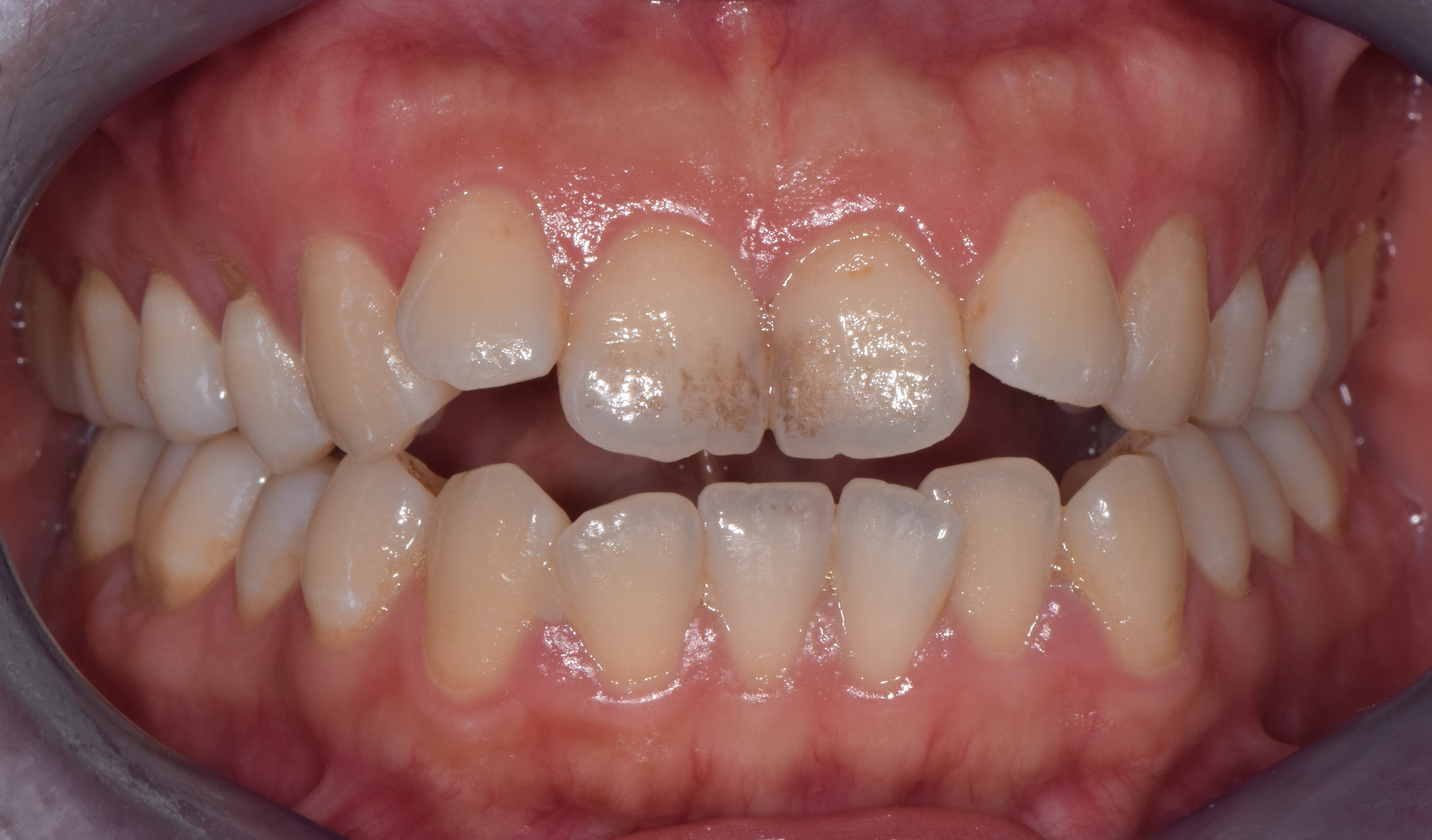
新收的开 牙合 病人,请大家畅所欲言,说得好的加分
图片尺寸2304x1536
【专题讨论】开(牙合),这个病案有什么好的手段和方法?
图片尺寸4000x3000
牙齿开合有哪些危害? - 知乎
图片尺寸603x401![口腔正畸开牙合 [病例帖]](https://i.ecywang.com/upload/1/img1.baidu.com/it/u=880521537,3068989651&fm=253&fmt=auto&app=138&f=JPEG?w=751&h=500)
口腔正畸开牙合 [病例帖]
图片尺寸1000x666
【家校合育】一年级青松班家长进课堂
图片尺寸640x406
口腔颅颌面科正颌正畸中心看什么?
图片尺寸800x533![一个开牙合的患者 [病例帖]](https://i.ecywang.com/upload/1/img0.baidu.com/it/u=1390736685,2120924201&fm=253&fmt=auto&app=138&f=JPEG?w=639&h=426)
一个开牙合的患者 [病例帖]
图片尺寸639x426
牙齿骨性开颌可以带牙套解决吗? - 知乎
图片尺寸800x468
牙齿开颌就是牙齿合不拢71
图片尺寸1080x1440