开颌正畸对比

地包天矫正对比
图片尺寸400x338
矫正前后对比.jpg
图片尺寸484x461
口内正畸之后的对比: 从
图片尺寸640x437
矫正前后口内像对比
图片尺寸1200x800
开颌女生正畸正颌颜值健康两不误
图片尺寸1200x1257
儿童反颌矫正对比
图片尺寸500x600
牙齿矫正开颌矫正要多久
图片尺寸4289x4806
770牙科口腔门诊开颌矫正对比图贴挂画喷绘素材展板海报印制1340
图片尺寸557x780
以上就是鲍医生矫正开颌的前后对比图,连顾客的咬合功能都改善了呢
图片尺寸760x582
安氏开颌3类我的正畸之路
图片尺寸3763x3021
成年人 牙齿开颌矫正前&矫正后
图片尺寸534x473
开口对比.jpg
图片尺寸1134x1266
22岁还能矫正牙齿吗唐山牙博士口腔正畸优势特色分析
图片尺寸500x500
矫正前后对比
图片尺寸510x438
牙齿矫正前后对比
图片尺寸960x734
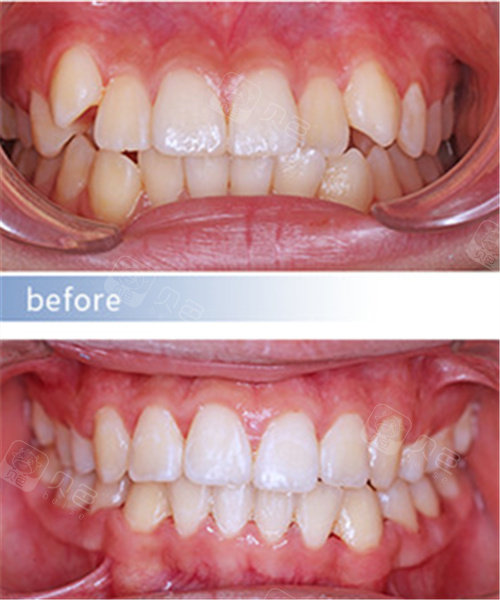
矫正前后口内像对比
图片尺寸1664x936
镇江拜博口腔牙齿矫正前后对比照片
图片尺寸570x419
开颌.jpg
图片尺寸690x476
牙齿矫正正面前后对比
图片尺寸500x500
深圳格伦菲尔口腔牙齿开颌矫正前后对比图
图片尺寸500x302