弓形子宫超声图片

弓形子宫
图片尺寸1080x1440
弓形子宫的矫形手术
图片尺寸610x528
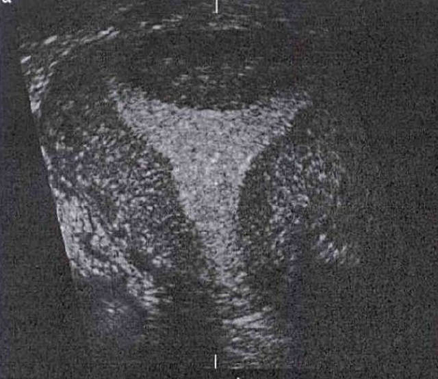
弓形子宫与robert子宫超声表现
图片尺寸530x271
之前检查从来没检查出来弓形子宫一直都是正常的
图片尺寸863x1920
渭南市妇幼保健院全市首例通过腔内四维超声诊断"弓形子宫"
图片尺寸640x399
弓形子宫 7mm
图片尺寸1024x576
微信科普:弓形子宫,鞍状子宫 (原创)
图片尺寸640x519
女性如果是弓形子宫能正常生育吗听听生殖专家怎么说
图片尺寸600x400
微信科普弓形子宫鞍状子宫
图片尺寸985x746
真实!子宫彩超具体查什么?"心潮起伏"-第1张图片-喜宝网
图片尺寸750x696
超声医学讨论版 - 爱爱医医学论坛 - 爱爱医医学网
图片尺寸704x576
【原创】先天性子宫畸形 - 超声医学讨论版 - 爱爱医医学论坛
图片尺寸768x576
b超图解:常见妇科疾病典型超声表现_子宫
图片尺寸563x413
各时期正常女性生殖器官的超声声像表现!_子宫
图片尺寸671x461
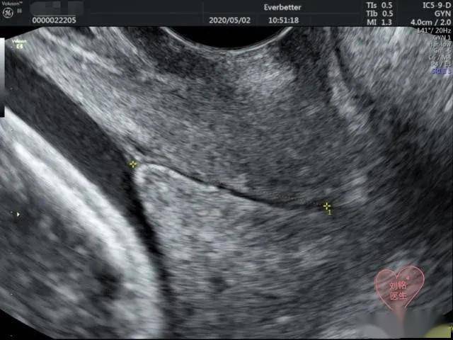
弓形子宫,宫腔上缘可见一浅的凹陷切迹,宫底部肌层是平滑的.
图片尺寸401x484
看看这个子宫畸形 - 超声医学讨论版 - 爱爱医医学论坛
图片尺寸768x576
经阴超声发现子宫颈处有孕囊.子宫和宫颈,矢状位
图片尺寸443x266![[试管婴儿]月经第七天,这次做超有弓形子宫](https://i.ecywang.com/upload/1/img0.baidu.com/it/u=2494356602,1807564984&fm=253&fmt=auto&app=138&f=JPEG?w=887&h=500)
[试管婴儿]月经第七天,这次做超有弓形子宫
图片尺寸1632x920
刘铭医生环扎手术攻略
图片尺寸619x464
宫颈长度的超声检查
图片尺寸640x480