张欣尧刘宇doi文

一个新音乐节ip如何快速崛起?
图片尺寸640x400
张欣尧inmarni22早春毛衣
图片尺寸1080x1439
降胆固醇单片复方制剂专家共识巡讲速递【含视频】
图片尺寸865x487
《食品科学》:北京物资学院张勤教授等:基于文献计量学分析的全球食品
图片尺寸660x372
2021-2007年中国地级市创新资源配置效率数据,城市创
图片尺寸1279x825
北京物资学院张勤教授等:基于文献计量学分析的全球食品追溯研究进展
图片尺寸640x732
北京物资学院张勤教授等:基于文献计量学分析的全球食品追溯研究进展
图片尺寸640x356
北京物资学院张勤教授等:基于文献计量学分析的全球食品追溯研究进展
图片尺寸640x437
北京物资学院张勤教授等:基于文献计量学分析的全球食品追溯研究进展
图片尺寸308x350
北京物资学院张勤教授等:基于文献计量学分析的全球食品追溯研究进展
图片尺寸640x668
2021-2007年中国地级市创新资源配置效率数据,城市创
图片尺寸752x755
北京物资学院张勤教授等:基于文献计量学分析的全球食品追溯研究进展
图片尺寸296x240
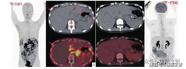
18f-fapi pet/ct显像,让癌症诊断更准确!
图片尺寸708x265
"张欣尧,是你吗?真的是你来找我了吗?
图片尺寸2732x4096
张欣尧:告别《创造营2021》,下岛后的一切快"吓死"我了
图片尺寸1080x1919
出场有:刘宇,赞多,小九,尹浩宇,周柯宇
图片尺寸1000x1000
2023年丨张欣尧经纪人丨代言演出邀约
图片尺寸800x1200
随欣所宇 张欣尧x刘宇
图片尺寸846x1242
《创造营2021》张欣尧戏精上身帮刘宇"自杀"
图片尺寸2048x1151
9命张欣尧的头发
图片尺寸600x1330