弥漫性星形细胞瘤

低级别弥漫性星形细胞瘤的影像学特征theneurosurgicalatlas全文翻译
图片尺寸1080x602
who iii 级 -弥漫浸润生长. -占星形细胞瘤 30%,好发 40-60 岁.
图片尺寸750x1105
弥漫性星形细胞瘤
图片尺寸720x383
弥漫性星形细胞瘤(ii级)
图片尺寸1080x812
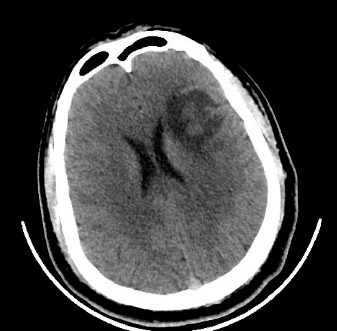
弥漫性星形细胞瘤
图片尺寸650x488
毛细胞型星形细胞瘤mr诊断及鉴别
图片尺寸1080x810
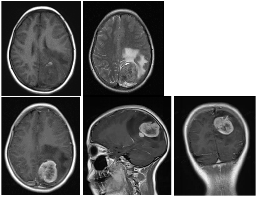
弥漫性星形细胞瘤
图片尺寸969x743
弥漫性星形细胞瘤和脑膜瘤的srh图像(图片来源: dr.
图片尺寸1000x667
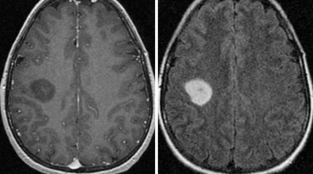
术后病理结果示:弥漫性星型细胞瘤(who2级)
图片尺寸598x481
毛细胞型星形细胞瘤的影像诊断全攻略
图片尺寸1280x720
继荣基础影像~弥漫性星形细胞瘤
图片尺寸861x437
多形性黄色星形细胞瘤一例报道
图片尺寸926x1256
星形细胞瘤的检查
图片尺寸344x400
最新星形细胞瘤分类及影像诊断
图片尺寸960x720
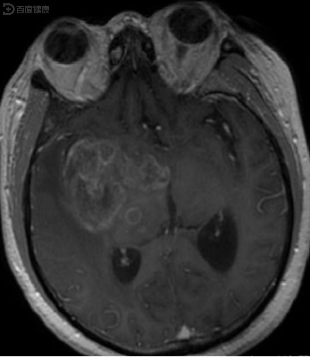
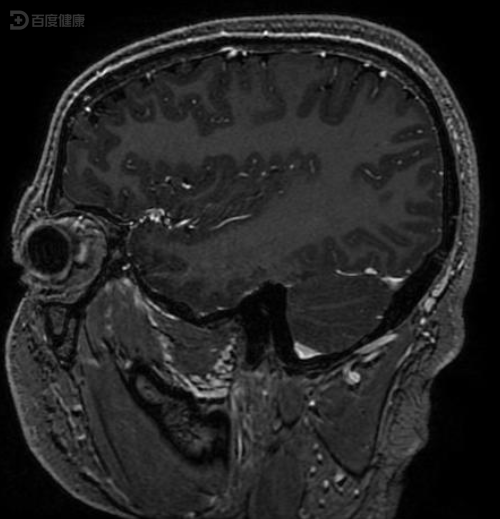
真倒霉这人颅内竟同时长了两个肿瘤
图片尺寸544x264
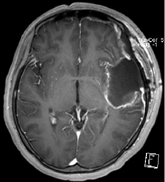
术后病理提示:弥漫性间变性星形细胞瘤,伴大脑胶质瘤病生长方式.
图片尺寸1952x734
例1 弥漫性星形细胞瘤
图片尺寸813x920
the affiliated hospital of luzhou medical college 星形细胞瘤的
图片尺寸1080x810
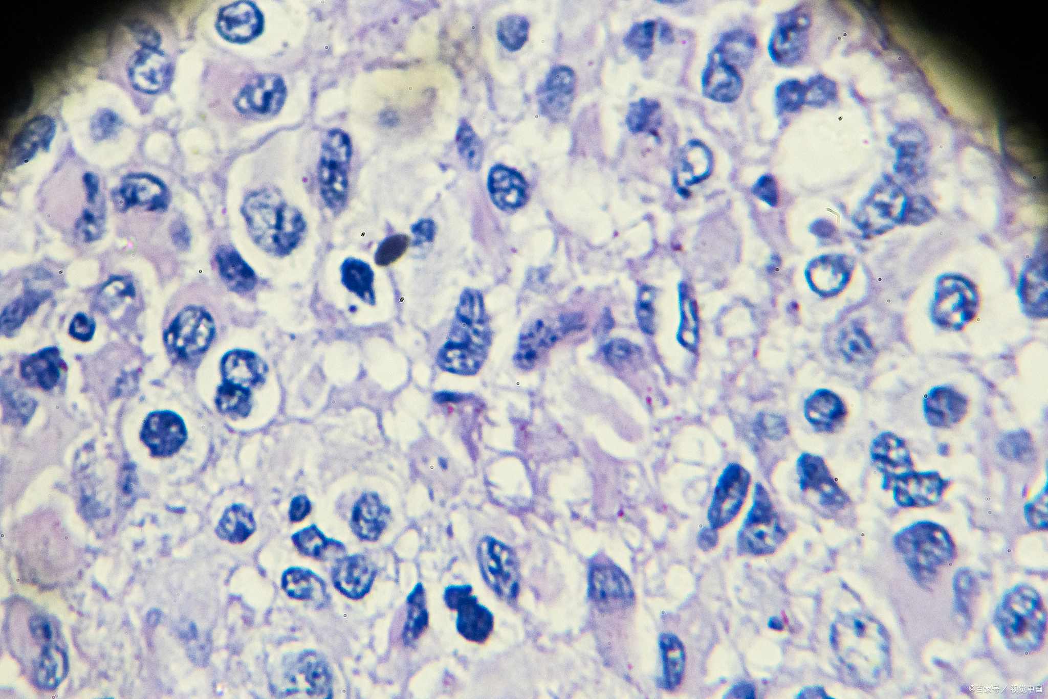
结果:1,间变型星形细胞瘤 2,脑膜瘤
图片尺寸1080x639
源于嗅神经的毛细胞星形细胞瘤一例---浙二神外周刊(第155期)
图片尺寸640x404