弥漫性胶质瘤

弥漫性低级别胶质瘤术后复发模式
图片尺寸767x457
弥漫性中线胶质瘤
图片尺寸836x944
胶质瘤
图片尺寸659x500
一等奖成人弥漫中线胶质瘤病例1例
图片尺寸640x603
低级别胶质瘤的当前治疗策略
图片尺寸800x600
胶质瘤死前三个月症状
图片尺寸500x614
弥漫性中线胶质瘤
图片尺寸830x940
一等奖成人弥漫中线胶质瘤病例1例
图片尺寸640x310
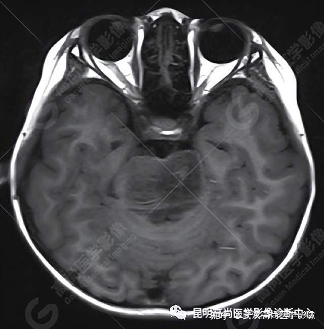
脑干弥漫性中线胶质瘤一例「武汉高尚医学影像」
图片尺寸640x696
胶质瘤
图片尺寸650x500
胶质母细胞瘤的初始治疗_胶质瘤_介绍_治疗方式_日常注意事项 - 好
图片尺寸2202x1410
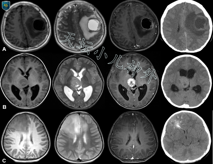
天坛小儿神外宫剑教授访谈儿童型弥漫性高级别胶质瘤的解读与天坛诊疗
图片尺寸695x535
脑干弥漫性中线胶质瘤一例「武汉高尚医学影像」
图片尺寸640x650
胶质瘤
图片尺寸640x631
左侧额颞岛叶弥漫性胶质瘤一例(2018华东胶质瘤mdt病例四) --浙二神外
图片尺寸640x1138
弥漫性中线胶质瘤
图片尺寸1280x720
强化,诊断胶质瘤不难,只脑干弥漫性胶质瘤是否有特征性条纹样改变存疑
图片尺寸586x710
一等奖成人弥漫中线胶质瘤病例1例
图片尺寸640x303
弥漫性中线胶质瘤是什么?好治吗?
图片尺寸600x600
大家帮看看胶质瘤
图片尺寸2304x3072