强直性脊柱炎X线

强直性脊柱炎(竹节脊柱)
图片尺寸2976x3583
强直性脊柱炎诊断与规范化治疗 - 好大夫在线
图片尺寸956x613
男,强直性脊柱炎
图片尺寸1164x775
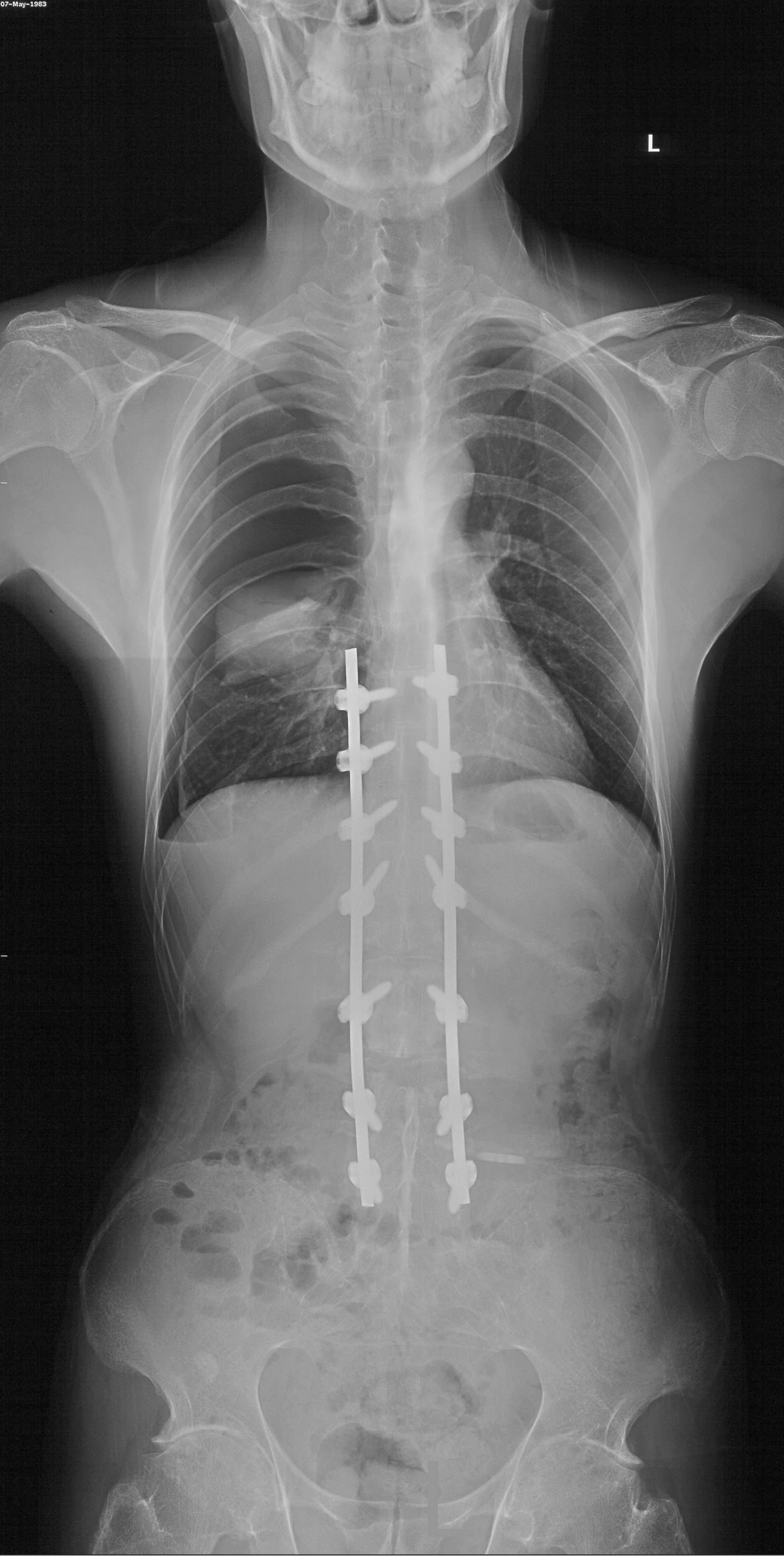
一例强直性脊柱炎的治疗体会
图片尺寸3456x4608
强直性脊柱炎发病原因_为什么会得强直性脊柱炎-上海强直性脊柱炎专科
图片尺寸905x678
典型强直性脊柱炎的片子
图片尺寸480x640
20年强直性脊柱炎终得专业治疗 - 北京丰台国康中西医结合医院-风湿病
图片尺寸3000x3519
黔东南州人民医院黎平医院骨科顺利完成一例强直性脊柱炎的强直髋全髋
图片尺寸1080x1920
强直性脊柱炎合并颈腰椎骨折
图片尺寸2000x2667
是不是手术没做好
图片尺寸2112x2816
图文荟萃丨全面解读强直性脊柱炎
图片尺寸391x892
强直性脊柱炎究竟是怎么引起的呢
图片尺寸1486x2946
谁能看懂这片子是强直脊椎炎吗?
图片尺寸576x1024
和大家分享一个强直性脊柱炎
图片尺寸2265x1365
强直性脊柱炎应力骨折的治疗
图片尺寸2000x2667
强直性脊柱炎
图片尺寸831x438
强直性脊柱炎?
图片尺寸3000x3999
强直性腰椎脊柱炎x线照片.美联社的观点.
图片尺寸946x1200
重庆北部宽仁医院:「不死的癌症」强直性脊柱炎,究竟有多痛?
图片尺寸575x702
强直性脊柱炎手脚冰凉
图片尺寸3000x4000