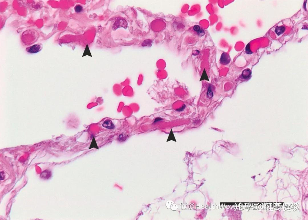
微血栓

新冠患者的肺泡毛细血管中的多个微血栓(箭头处)
图片尺寸1080x771
新冠死者肺里充满微小血栓,原因不明
图片尺寸690x390
静脉血栓
图片尺寸500x391
微血栓形成图集
图片尺寸300x220
在精准熟练的操作下,经切口,由球囊导管取出较大血栓,长条形即是,同时
图片尺寸2667x2000
关于血栓你需要知道这些
图片尺寸1024x692
该青年患者抽出的冠脉血栓
图片尺寸550x412
陈旧的白色血栓
图片尺寸1200x2137
关于血栓那些事儿(1)
图片尺寸833x348
下肢血管彩超提示右侧股总动脉,股深浅动脉内透声差,血栓?
图片尺寸1080x1441
血栓竟有红白之分这种血栓致死致残率高很多人却连自己是高危人群都不
图片尺寸558x315
开放联合pta挽救瘘口狭窄所致avf血栓事件
图片尺寸1932x1449
什么是血栓
图片尺寸960x1280
人类血栓中首次发现微塑料;北溪公司称无法确定管道能否修复丨科技早
图片尺寸1080x608
这是多次拉栓后的结果!上面那段不像血栓,貌似斑块!
图片尺寸2420x3126
血液粘稠或许会诱发血栓,出现信号时,就准备调理改善
图片尺寸563x315
当微血栓大量长期积聚在体内,会阻塞毛细血管,影响血液流动和氧气交换
图片尺寸2280x1280
肾内病理图解血栓性微血管病
图片尺寸640x435
孕囊布满微血栓稽留流产合并子宫内膜息肉12术后宫腔图片宫腔镜下宫腔
图片尺寸679x484
一例下肢静脉血栓
图片尺寸1080x1920