心包积液x线

心包积气,多浆膜腔积液,急性肾功能不全原因考虑?下一步处理?
图片尺寸640x480
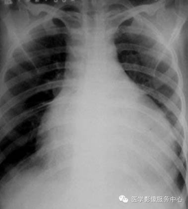
心包积液(大量):x线:心外形重度增大,各弓弧度消失,呈烧瓶样改变;上
图片尺寸1080x810
大量心包积液给我们带来了可怕的后果
图片尺寸407x351
心电图(3):心包积液
图片尺寸805x418
【共享】典型心包积液
图片尺寸1920x1080
【共享】典型心包积液
图片尺寸1920x1080
21岁小伙喝出心衰功能饮料多喝有毒
图片尺寸554x498
心包积液
图片尺寸472x458
大量心包积液并心衰
图片尺寸2000x2667
x线检查对少量的心包积液的诊断有限度.
图片尺寸379x421![大量心包积液从何而来? [病例帖]](https://i.ecywang.com/upload/1/img0.baidu.com/it/u=4093626211,521056273&fm=253&fmt=auto&app=138&f=JPEG?w=667&h=500)
大量心包积液从何而来? [病例帖]
图片尺寸888x666
3. 从ct图来看, 其心包积液的量属于轻度,中度,重度? 4
图片尺寸3264x2448
郭德尚 心包积液应该怎样正确处理
图片尺寸500x375
心包积液病例一例
图片尺寸1225x757
大量心包积液心电图达摩心电图专栏
图片尺寸641x865
bmj胸腔积液的诊疗
图片尺寸526x535
【读片】心包积液
图片尺寸512x512
心包积液症状
图片尺寸500x481
肺癌伴大量心包积液
图片尺寸4032x3024
病历摘要心包积液患者男性51岁腹胀1月余入院查体腹围增大移动性浊音
图片尺寸249x257