心尖五腔心切面

心脏标准切面之心尖五腔心切面
图片尺寸758x515
心尖五腔切面
图片尺寸1080x810
心尖五腔心切面.jpg
图片尺寸720x576
五,心尖四腔及五腔切面 探头放在外下,声束指向右肩,显示十字
图片尺寸748x517
4心尖五腔心切面(第五腔为主动脉)心尖四腔心切面二维超声心尖四腔心
图片尺寸800x600
心尖五腔切面
图片尺寸720x576
心尖五腔心切面:主要用于显示右心室侧壁及调节束
图片尺寸550x268
为什么说心尖五腔心切面显示的是左冠瓣和右冠瓣?
图片尺寸800x600
心尖五腔心切面示意图探头放置及心尖五腔心超声切面(左手执探头法)
图片尺寸640x362
心脏切面
图片尺寸1080x810
心脏标准切面之心尖五腔心切面
图片尺寸419x433
心尖五腔心切面 在心尖四腔心切面探查位置的基础上,将探头略向前倾斜
图片尺寸686x497
帖子主题经典心脏超生切面及解剖解释
图片尺寸400x346
乳头肌短轴切面三,心尖四腔心切面apical4-chamber view, a4c探头
图片尺寸640x421
图3-1-5 心尖四腔心切面二维超声心动图
图片尺寸360x436
心超声心尖四腔室断面示意图
图片尺寸368x427
解剖图心尖四腔切面06胸骨旁腱索程度短轴切面05胸骨旁主动脉根部短轴
图片尺寸400x348
心房 心骨骼 心瓣膜 心室
图片尺寸1080x810
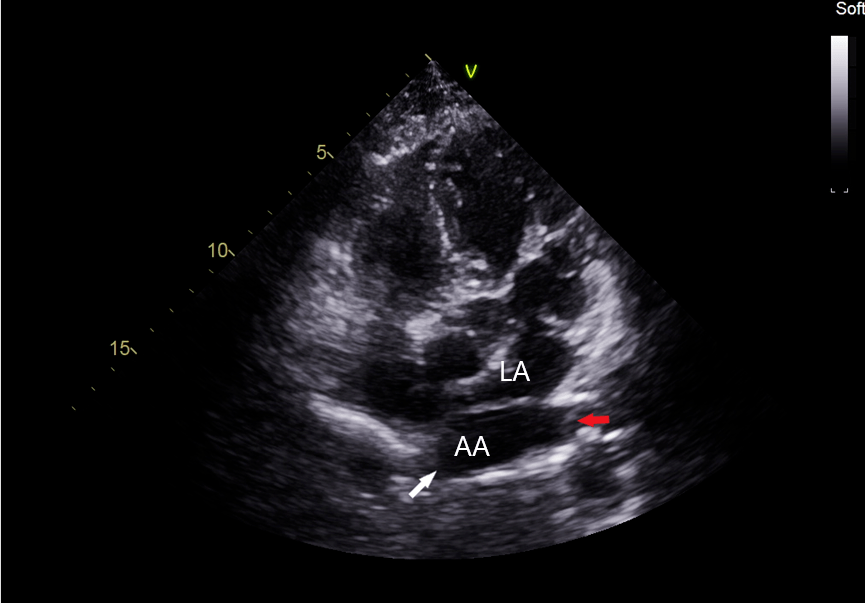
口,短箭头所示隔膜la : 真房, lv :左室,aa :副房图 1 心尖五腔心切面
图片尺寸865x603
心尖五腔切面分流频谱图
图片尺寸720x576