心源性脑栓塞

提示侵犯最初未受影响的血管区域,多发生于心源性栓塞(心房颤动),动脉
图片尺寸600x606
心源性脑梗死——一种更严重,死亡率更高的脑梗死,要如何预防?
图片尺寸330x452
睡觉打呼噜也会导致脑卒中?关系很大吗?医生为您解答
图片尺寸3334x1328
揭秘房颤与心源性脑栓塞之谜,北京天坛医院内科主任医师崔培林团队教
图片尺寸515x300
脑血栓|脑栓塞|水管_新浪新闻
图片尺寸640x324
p>医学生绘本96第七弹【脑梗死】 br>图11566是心源性脑栓塞
图片尺寸1080x1440
医生:一个是果,一个是因|脑梗死|栓塞|脑血管_网易订阅
图片尺寸660x386
含钙化物质心源性栓子脑栓塞急诊介入治疗 - 脑医汇 - 神外资讯 - 神
图片尺寸591x628
维兰尼梅奥医学科普:脑血栓脑栓塞有办法治吗?_治疗_脑细胞_方法
图片尺寸640x480
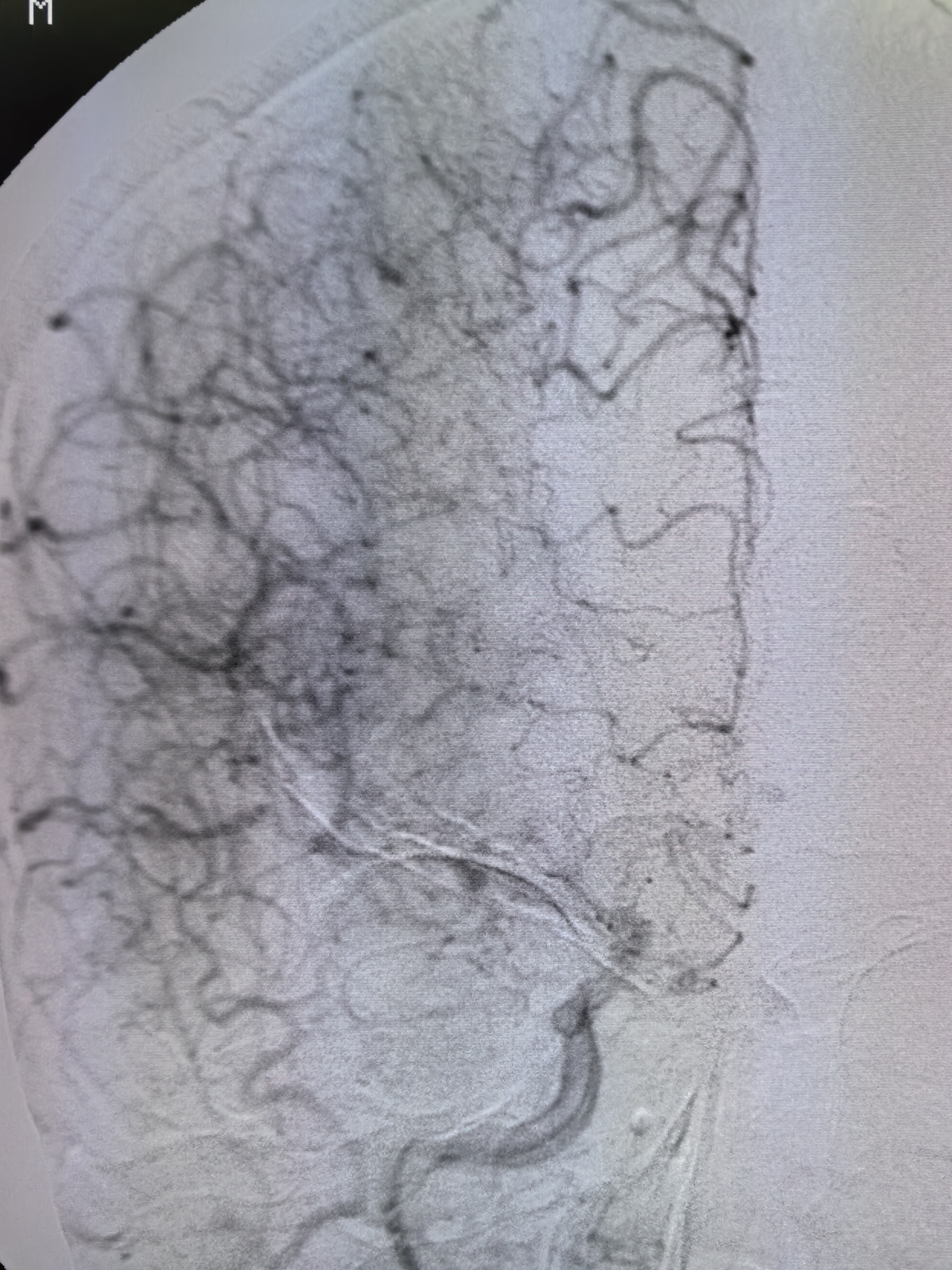
不同凡响|(第152期)老年男性心源性栓塞血管内治疗一例 - 脑医汇 - 神
图片尺寸3072x4096
心源性栓塞.png
图片尺寸283x335
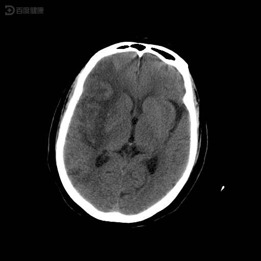
手术前后对比图如下:患者近10天内发作脑梗死2次,虽均为小梗塞,但ct
图片尺寸750x772
60岁江大叔心源性脑栓塞的治疗过程分享
图片尺寸512x512
心源性脑栓塞30例临床分析
图片尺寸1275x1650
血管|肺栓塞|心肌梗死_网易订阅
图片尺寸660x434
不同凡响|(第64期)心源性栓塞血管内治疗一例 - 脑医汇 - 神外资讯
图片尺寸3648x2736
心源性脑栓塞诊断的进展_第1页
图片尺寸2400x1350
诱发脑卒中的五大因素
图片尺寸280x437
含钙化物质心源性栓子脑栓塞急诊介入治疗 - 脑医汇 - 神外资讯 - 神
图片尺寸709x754
二,心源性脑栓塞的内科治疗(2)
图片尺寸751x860