心的血管

心血管疾病图文详解
图片尺寸440x1220
人,心血管,插画,电脑插画
图片尺寸450x600
心血管系统解剖学课件ppt课件.pptx
图片尺寸920x690
保护心血管健康注意三多三少血管畅通
图片尺寸660x472
心血管系统结构示意图-人体解剖图
图片尺寸451x430
心血管系统药ppt课件
图片尺寸920x690
系统解剖学 10心血管系统动脉
图片尺寸1080x810
心血管医生学影像人卫版 马小静 熊青峰 李菁主编 人民卫生出版社
图片尺寸800x800
我院心血管病科成功完成3例复杂高危高龄患者手术
图片尺寸887x918
二十张图教你秒懂心血管疾病医学生收藏
图片尺寸640x525
2019年临床执业医师资格考试辅导课件心血管系统心力衰竭讲义.
图片尺寸792x1120
第7章心血管系统疾病1动脉粥样硬化,冠心病_第2页
图片尺寸920x690
王药师心血管讲堂
图片尺寸640x355
心血管分布血液循环系统精华彩图
图片尺寸178x375
中医心脑血管良方-生活-高清完整正版视频在线观看-优酷
图片尺寸448x252
2-2心血管系统ppt
图片尺寸1080x810
心血管系统第三节动脉参考ppt
图片尺寸920x690
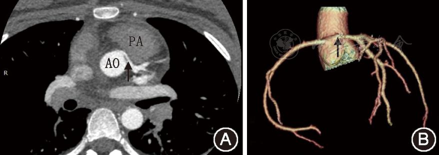
心血管疾病研究儿童左冠状动脉异常起源于右冠状窦伴动脉间行程四例
图片尺寸878x310
(图) 心血管铸型 (前面观) (1)
图片尺寸1501x2057
对于中老年人来说,一般最担心的就是心血管疾病,比如高脂血症,冠心病
图片尺寸500x221