心肌梗死造影图片

造影提示患者小李右冠近中端99%狭窄,局部大量血栓形成,血流
图片尺寸868x1180
急诊冠脉造影示: 左主干加三支病变.
图片尺寸2000x2667
几天前,又有三位微友发生了急性心肌梗死,他们的年龄在四十岁左右.
图片尺寸1080x1920
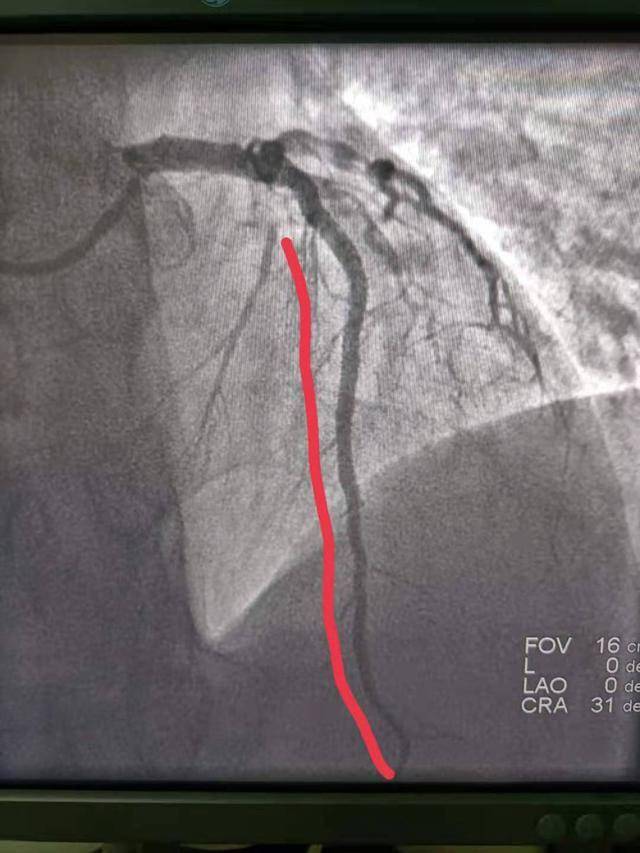
其它 急性心肌梗死救治一例 写美篇 冠脉造影可见右冠状动脉近中段次
图片尺寸2736x2908
梗死血管开通效果,戎主任和李大夫建议患者行尽快行冠状动脉造影术
图片尺寸1999x2666
凌晨急性心肌梗死pci 一例
图片尺寸2667x2000
急诊冠脉造影前降支近段 40~50% 狭窄,以远闭塞,于近中段至前降支
图片尺寸679x340
造影结果示:回旋支闭塞
图片尺寸1080x1165
南阳医专二附院内二科成功抢救一名急性心肌梗死患者侧记
图片尺寸640x715
急诊冠脉造影示:回旋支近段闭塞.
图片尺寸1209x1080
2018年急性下壁心肌梗死,急诊造影,多体位显示左室后支95%狭窄
图片尺寸655x766
50岁男子做心脏造影刚2年突发心梗!医生:哪些人心血管更容易堵
图片尺寸1996x2258
心肌梗塞---胸闷,左肩背放射痛不容忽视!
图片尺寸1080x1280
急诊造影示:回旋支闭塞
图片尺寸1125x1080
心肌梗死_猝死_医脉通
图片尺寸1024x499
77岁老人急性下壁心肌梗死,博医心内科紧急pci挽救患者生命!
图片尺寸500x666
冠脉造影提示右冠起始段多发狭窄,严重处狭窄约90%,并多发斑块形成.
图片尺寸2000x2667
今日关注抢救心梗患者延续最美曲线
图片尺寸960x1280
44岁男子凌晨2点心肌梗死科普为什么年轻人心脏病越来越多
图片尺寸640x853
生死时速惊险80分钟成功抢救急性心肌梗死患者
图片尺寸346x433