心脏动态监测

心异动即行动,马拉松跑者用lepod pro心电记录仪监测心电全记录
图片尺寸320x568
心脏健康有多重要?心电图机带你关注心血管健康!
图片尺寸790x1200
"要么死,要么移植",57岁男子接受猪心脏移植手术,成果喜人
图片尺寸640x360
52岁大姐查出心律失常,6个月后心脏恢复正常,医生:做对了2件事
图片尺寸750x360
450_338gif 动态图 动图
图片尺寸450x338
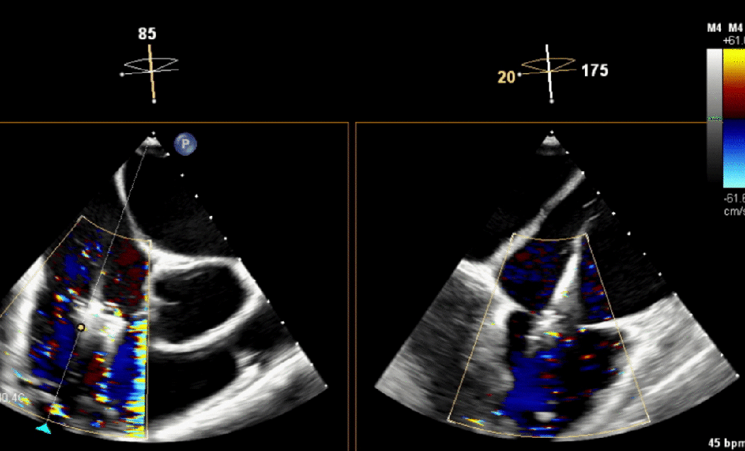
厦心成功完成机器人经导管二尖瓣微创手术
图片尺寸1079x607
藏在心里的夺命针
图片尺寸640x360
正常心脏收缩此外,心力衰竭,心梗,认知功能障碍,痴呆以及肾功能不全
图片尺寸400x232
apple watch 心脏检测再升级,手腕上的它真的靠谱吗?
图片尺寸850x458
万脉a18多导睡眠监测仪操作视频
图片尺寸640x360
如果患者的心电图,holter(动态心电监测)检查无明显异常,说明心脏的电
图片尺寸1000x563
真实的心脏跳动示意图04
图片尺寸400x225
图片尺寸1280x853
心脏不舒服,需要做什么检查?
图片尺寸400x400
重症超声脏器评估规范1
图片尺寸640x480
图片尺寸1500x1125
2014年,英国心脏基金会研究发现,每天仅仅吸一根烟,患心脏病风险便会
图片尺寸353x371
心脏健康有多重要?心电图机带你关注心血管健康!
图片尺寸790x1042
不同角度为你呈现真实心脏跳动
图片尺寸400x225
宁波市首两例经导管三尖瓣teer成功实施
图片尺寸1080x654