心脏拍片子图片

心脏衰竭需要做手术吗?
图片尺寸540x960
阅片——典型心脏病的描述与诊断
图片尺寸670x602
心电图显示频发房性早搏,心脏彩超很健康,但是低烧头晕胸闷
图片尺寸3120x4160
心脏瓣膜置换
图片尺寸884x861
心脏四个基本摄片位示意【x线图】
图片尺寸322x271
为什么心脏明明在两肺之间并不是在胸腔左侧却都说心脏在人体左侧呢?
图片尺寸720x739
猫咪心脏偏大
图片尺寸960x1280
7岁男孩被仿真气枪射中 子弹离心脏仅两三厘米
图片尺寸550x733
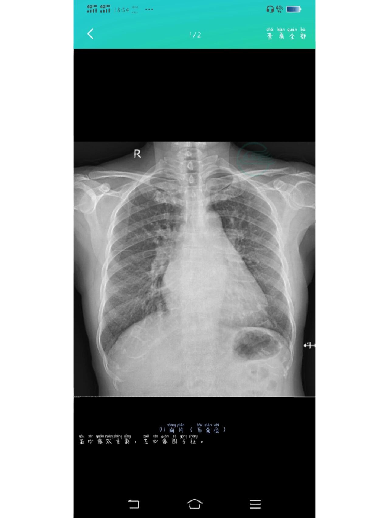
腹背位可见肺部充气良好纹理清晰,肺动脉静脉正常,心脏1点-4点处膨隆
图片尺寸406x690
呼吸版经验交流(33)胸部 x 光片:阅片必备指南
图片尺寸486x441
急谢谢您今拍的胸透片人太多没等报告
图片尺寸450x800
嗓子里有痰,鼻塞,今天拍的肺部片!
图片尺寸780x1040
我妈妈原来心脏开过刀,这几天胸闷气短伴随发烧咳嗽,现在ct拍出来结果
图片尺寸768x1024
厉害了这项检查居然可以给心脏拍电影
图片尺寸650x488
果壳病人 | 原以为要换个心脏零件,开胸之后我收到了意外的礼物
图片尺寸1080x1440
跪求!宠物医生.我家狗12岁.拍的片子.
图片尺寸720x540
心脏早搏
图片尺寸2448x3264
请帮忙看看狗狗的心脏是否先天肥大?
图片尺寸852x1136
世界上速度最快的ct扫描仪拍摄的心脏和肺部图像
图片尺寸560x354
第一次拍的肺部片子
图片尺寸1080x774