心脏ct影像图

【病例报告】主动脉弓部囊性主动脉瘤伴冠心病
图片尺寸2560x1728
【读片】心脏ct - 影像医学和核医学讨论版 -丁香园论坛
图片尺寸1800x1800
心脏改变肺心病吃孟鲁肺心病查体体征肺心病长期吃什么药好肺心病吃
图片尺寸474x329
详细解读冠状动脉及冠心病ct_影像诊断中心
图片尺寸960x720
正常心脏大血管ebct增强扫描影像学表现-医学影像图
图片尺寸800x510
着检查结果,拿着王医生开着住院证办理住院……检查结果心脏明显扩大
图片尺寸674x790
无造影剂ct显示冠状动脉钙化
图片尺寸605x562
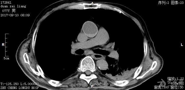
【读片】心脏增大 - 影像核医学 -丁香园论坛
图片尺寸512x512
什么情况下需要做心脏ct,你都知道吗?
图片尺寸1926x1280
ct诊断心影及大血管形态正常
图片尺寸4032x3024
心脏ct
图片尺寸600x460
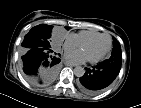
正常胸肺部ct影像学
图片尺寸697x521
心脏,ct扫描,技巧,检查,房间,调查,男患者,怀疑,动脉,收缩,看,显示器
图片尺寸525x350
心脏冠状动脉ct检查的价值
图片尺寸594x825
心脏脂肪瘤的影像学特征
图片尺寸1181x870
ct图像示心脏大血管内血液密度呈分层改变 - 医学影像学讨论版 - 爱爱
图片尺寸709x347
ct如何看冠状动脉狭窄高清图谱详解要点
图片尺寸567x1348
每天学一张ct片(31期)
图片尺寸1054x713
ct分享,大家来看看
图片尺寸3648x2736
减轻心脏负荷,抗炎等积极治疗,患者胸水全部吸收(肺ct证实),心包积液
图片尺寸2000x2384