心脏x线摄影体位

心脏x线详图.心脏各体位下的结构位置,你学会了吗?#医学影像 - 抖音
图片尺寸1000x1024
主动脉心型
图片尺寸2400x2637
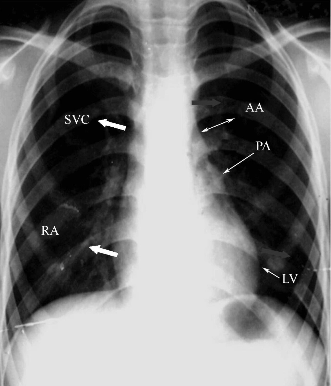
x线读片指南(1) 正常心脏x线摄片各体位影像特点 (图1)svc—上腔静脉
图片尺寸1280x1660
x线读片指南(1) 正常心脏x线摄片各体位影像特点 (图1)svc—上腔静脉
图片尺寸1280x1491
医学影像——最全dr体位摆放
图片尺寸1080x1526
心脏四个基本摄片位-x线
图片尺寸500x421
医学影像——最全dr体位摆放
图片尺寸1080x1526
【收藏】|x线摄影技术《胸部正侧位摄影》标准摆位图文解析!
图片尺寸1080x608
x线解剖图谱(心脏)- 医学百科网
图片尺寸670x503
医学影像——最全dr体位摆放
图片尺寸1080x1526
姜正明:极度横位心tavr一例
图片尺寸789x831
胸部x线?这么看你,果然简单多了
图片尺寸880x1134
考试必备心脏x线各种位置详解
图片尺寸1080x810
胸部x线摄影体位及临床意义
图片尺寸1417x1283
胸部x线摄影体位及临床意义
图片尺寸1417x935
心脏x线表现
图片尺寸778x527
心脏x线表现
图片尺寸998x635
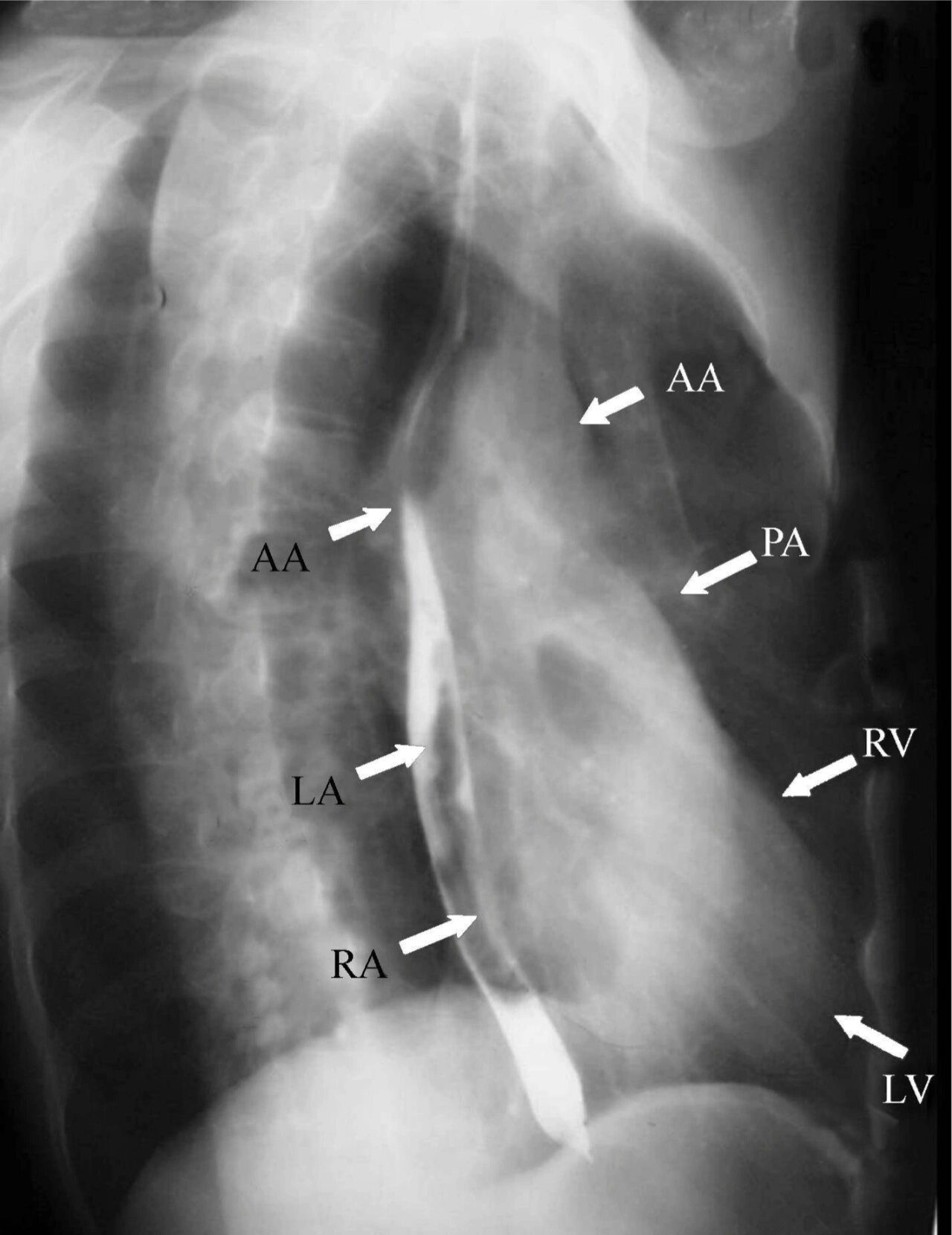
正常心影:在胸部正位及侧位片上,心脏边缘的构成见图1-30.
图片尺寸2126x1401
图4-1-不同体位正常心脏大血管.jpg
图片尺寸1181x887
医学影像——最全dr体位摆放
图片尺寸1080x1526