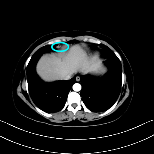
心膈角淋巴结

纵膈淋巴结分布图,方便大家学习. - 好大夫在线
图片尺寸640x480
纵隔淋巴结分组图解
图片尺寸893x392
1,纵隔前淋巴结:位于上纵膈前部和前纵隔内,大血管心包的前方,收纳
图片尺寸640x487
pelvic lymph nodes图439 盆部淋巴结gastric lymphs图438 胃的淋巴
图片尺寸796x530
妇科一病区完成一例心膈角淋巴结切除术(2020年11月) - 好大夫在线
图片尺寸512x512
纵膈淋巴结分区图谱详解课件
图片尺寸1080x810
妇科一病区完成一例心膈角淋巴结切除术(2020年11月) - 好大夫在线
图片尺寸512x512
史上最全胸内淋巴结分区图解
图片尺寸960x540
中间红色位置的淋巴结的都是纵膈淋巴结
图片尺寸720x599
纵隔淋巴结与肺癌临床相关
图片尺寸661x591
纵隔淋巴结分区图谱(美国胸科协会) - 好大夫在线
图片尺寸600x600
手把手教你:肺癌纵隔淋巴结分区-medsci.cn
图片尺寸1080x810
网络听课纵隔肿大淋巴结
图片尺寸1069x841
脉管系统-淋巴系统|淋巴结|脉管|淋巴|过滤|-健康界
图片尺寸771x629
纵膈淋巴结图谱
图片尺寸893x502
胸部(肺内)淋巴结
图片尺寸2000x1124
脉管(淋巴)系统ppt 医学 ( 四) 胸部的重要 淋巴管和淋巴结 胸骨旁
图片尺寸1080x810
纵膈淋巴结ct影像学分区 可在纵膈放疗靶区勾画中给予极大帮助 (二)
图片尺寸1080x810
角淋巴节
图片尺寸561x577
图文总结纵隔淋巴结的分区
图片尺寸383x526