念球菌感染

口腔念球菌感染症状,好发部位为颊,舌,软腭
图片尺寸500x330
艾滋患者口腔念球菌感染
图片尺寸446x430
白念球菌感染白念球菌感染症状
图片尺寸500x288
口腔病变可能是感染艾滋病毒的早期症状
图片尺寸429x263
口腔念球菌感染
图片尺寸454x416
瘙痒的,而且皮疹是会出现在感染艾滋病病毒后的两三个星期里就出现的
图片尺寸500x310
手指上出现所谓的白念球菌群体,很痒 一开始只是手指
图片尺寸3120x4160
白色念珠菌病
图片尺寸650x420
【图】口腔念球菌感染症状有哪些 预防和治疗的手段
图片尺寸400x600
白念球菌感染白念球菌感染症状
图片尺寸576x378
鹅口疮是一种真菌感染性疾病,主要是白色念球菌感染多见.
图片尺寸938x726
病是获得性免疫缺陷综合征(aids)是人类因为感染hiv后导致免疫缺陷
图片尺寸500x333
【图】念珠菌感染症状图片大全 如何进行诊断和治疗呢
图片尺寸400x400
bromopnea
图片尺寸646x483
雪口病是新生儿口腔黏膜受到白色念球菌感染引起的疾病,对宝宝影响
图片尺寸341x320
白色念珠菌感染有可能演变为全球健康问题 已经蔓延到各大洲
图片尺寸640x427
上图为艾滋病潜伏期症状的口腔白色念球菌感染
图片尺寸369x473
跟我一起见证立元堂小乳膏的奇迹吧!
图片尺寸750x1000
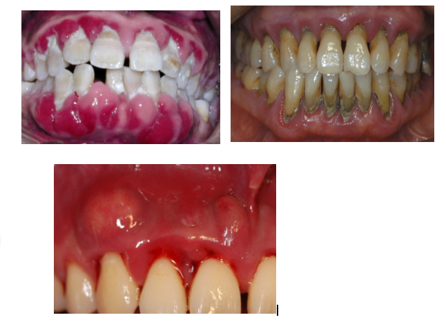
口腔内疼痛2天,饮食都有点困难: 案例2我当时考虑是口腔念球菌感染
图片尺寸600x450
如何用仙人掌治疗脓包疮 什么是脓包疮
图片尺寸400x267