怀孕ct照片

b超ct片子
图片尺寸4032x3024
盘点x光drct核磁共振b超的区别为你整理各个身体部位应该做的检查
图片尺寸690x432
怀孕半个月就做了ct不知道该怎么办
图片尺寸1080x1080
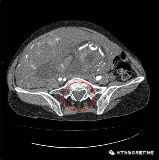
【病例】输卵管妊娠破裂1例ct
图片尺寸720x740
怀孕初期照了ct会怎么样
图片尺寸1080x1080
孕6月孕妇,ct查体:胎儿清晰可见,不过既往精神分裂病史,3楼跳楼,令人
图片尺寸432x576
怀孕做过胸部以上的ct宝宝能要吗?
图片尺寸400x400
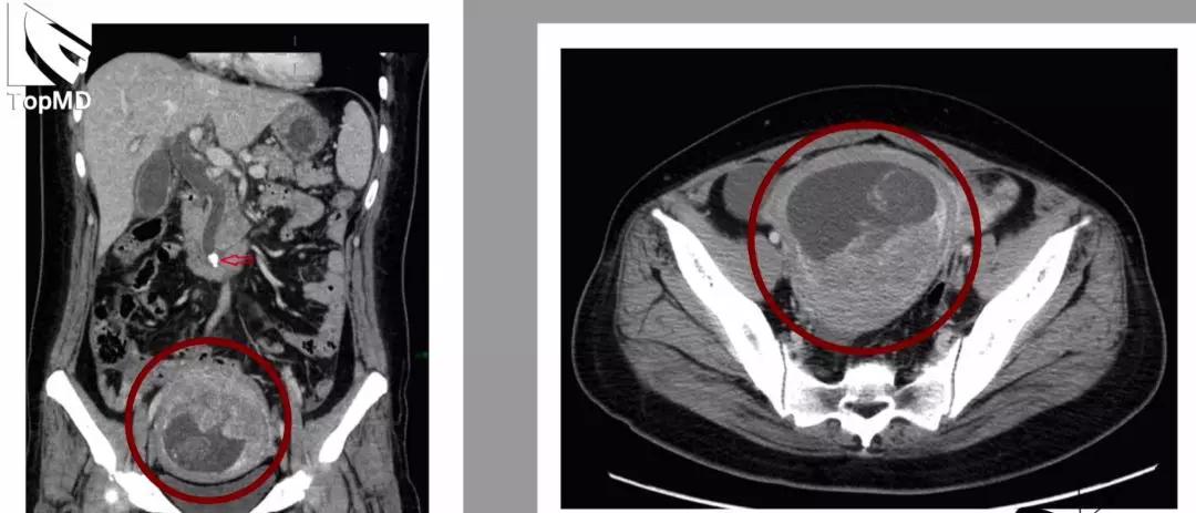
【读片】盆腔肿块——ct平扫,请大家看看!
图片尺寸512x512
其实b超不同于x线,ct等射线检查,他发射的是一种声音,只是这种声音的
图片尺寸602x306
腾小姐的腹部ct影像,"失足"落入腹腔的胎儿清晰可见.通讯员供图
图片尺寸640x387
能否用胸部超声替代 x 线与 ct 检查?
图片尺寸587x616
ct结果5.3号出 附上医大二院颈部彩超
图片尺寸980x1743
(ct检查发现升结肠占位并梗阻)
图片尺寸800x1144
危急情况下,孕妇也要做ct!
图片尺寸512x514
原创怀孕13周因胆总管结石做了ct孩子还能留吗
图片尺寸1080x463![【读片】求高手指教 [病例帖]](https://i.ecywang.com/upload/1/img0.baidu.com/it/u=2347795113,953389442&fm=253&fmt=auto&app=138&f=JPEG?w=500&h=431)
【读片】求高手指教 [病例帖]
图片尺寸911x785
ct 显示盲肠附近有一低密度包块,界限清晰(图 1).
图片尺寸640x308
29岁女子怀孕中期曾前后5次住院她看到检查后顿时傻眼了
图片尺寸554x534
x光片ctb超核磁共振别傻傻的分不清医生告诉你
图片尺寸368x436
超声检查的安全性与 x 线及 ct 检查不同,至今尚无有关诊断性超声检查
图片尺寸600x1066