急性胰腺炎ct图片

急性胰腺炎需警惕 - 好大夫在线
图片尺寸3264x2448
急性胰腺炎一个例子告诉你要规范治疗
图片尺寸640x480
急性胰腺炎的治疗和预防
图片尺寸782x300
急性胰腺炎ct评价
图片尺寸640x495
普外二科之 —— 急性胰腺炎
图片尺寸2000x2667![【共享】急性胰腺炎的ct分级 [病例帖]](https://i.ecywang.com/upload/1/img1.baidu.com/it/u=2338016697,4076227094&fm=253&fmt=auto&app=138&f=JPEG?w=500&h=920)
【共享】急性胰腺炎的ct分级 [病例帖]
图片尺寸1024x1884
按照balthazar分级标准,急性胰腺炎在ct上可分为五级.
图片尺寸2826x1422
急性胰腺炎ct评价
图片尺寸640x495
图4-3 急性胰腺炎a.ct平扫;b.ct增强动脉期;c,d.
图片尺寸497x410
急性胰腺炎ct评价
图片尺寸640x495
每周诊疗笔记之急性坏死性胰腺炎个体化外科治疗
图片尺寸3648x2736
ct 提示胰腺炎淀粉酶升高血脂非常高通过上面的介绍,我们知道急性胰腺
图片尺寸1440x1080
急性胰腺炎ct分级
图片尺寸1430x732
急性胰腺炎需警惕 - 好大夫在线
图片尺寸3264x2448
急性胰腺炎ct评价
图片尺寸640x495
每周诊疗笔记之肾移植术后重症急性胰腺炎
图片尺寸3648x2736
医药卫生 临床医学 胰腺基本疾病ct影像表现ppt 胰腺 急慢性胰腺炎
图片尺寸1080x810
急性胰腺炎ct评价
图片尺寸640x495
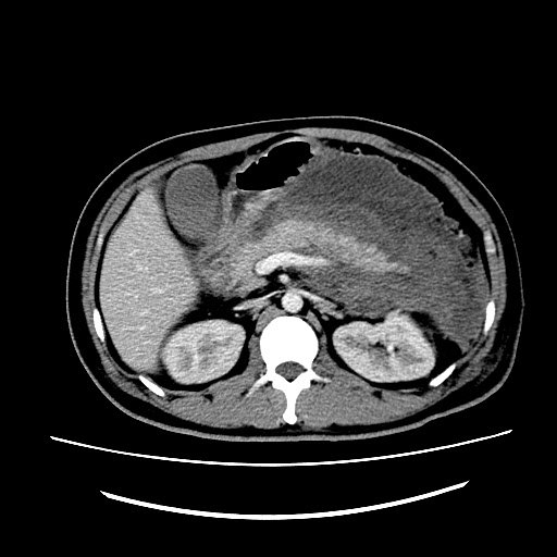
术前ct提示重症急性胰腺炎合并胰腺周围感染和积脓经过经皮穿刺置管
图片尺寸512x512
通过ct检查,可以明确急性胰腺炎的分
图片尺寸512x478