恒牙颜色

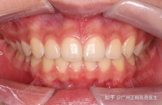
乳牙掉了,新长的恒牙怎么那么黄?
图片尺寸640x326
9岁小孩恒牙门牙齿颜色长的不一样
图片尺寸3456x4608
正常来说,恒牙是黄白色的,乳牙是白垩色.
图片尺寸1292x722
乳牙脱落,恒牙长出
图片尺寸676x420
氟斑牙(斑釉牙或氟牙症)
图片尺寸500x297
3.多见于恒牙,发生在乳牙者甚少,程度亦较轻.
图片尺寸457x240
牙齿各种颜色,形态欣赏
图片尺寸640x299
2倍 3倍双色恒牙学生认识牙齿28颗全口牙齿模型
图片尺寸800x800
有黄色变成棕褐色或深灰色;2,前牙比后牙着色明显:乳牙着色比恒牙明显
图片尺寸278x269
树脂学习之分层要点
图片尺寸560x366
双色恒牙模型(自然大)
图片尺寸581x251
南先森比如我们小朋友的乳牙和恒牙比起来就白一些,因为矿化程度比
图片尺寸337x204
乳牙的龋病会增加恒牙,尤其是相邻恒牙患龋的风险.
图片尺寸440x322
乳牙的颜色呈乳白色,而恒牙的颜色偏黄,这是因为乳牙牙体硬,组织更薄
图片尺寸400x391
透不出里面牙本质的颜色,所以就显白,恒牙牙釉质钙化程度高,呈现略
图片尺寸1674x1107
牙科材料28颗双色恒牙有牙根离体牙模型成人全口标准牙齿模型包邮
图片尺寸800x800
的第四个月就开始了,完成于出生后1周岁;而恒牙的钙化期开始于出生后6
图片尺寸641x240
牙科模型25倍双色恒牙雕牙指导牙齿解剖用有牙根牙体教学示范2倍恒牙
图片尺寸800x526
医生将8岁女孩恒牙当乳牙错拔还能再种回去吗
图片尺寸566x368
爱牙护牙这样做|龋齿|蛀牙|乳牙|恒牙|口腔_网易订阅
图片尺寸487x347