慢性支气管炎ct

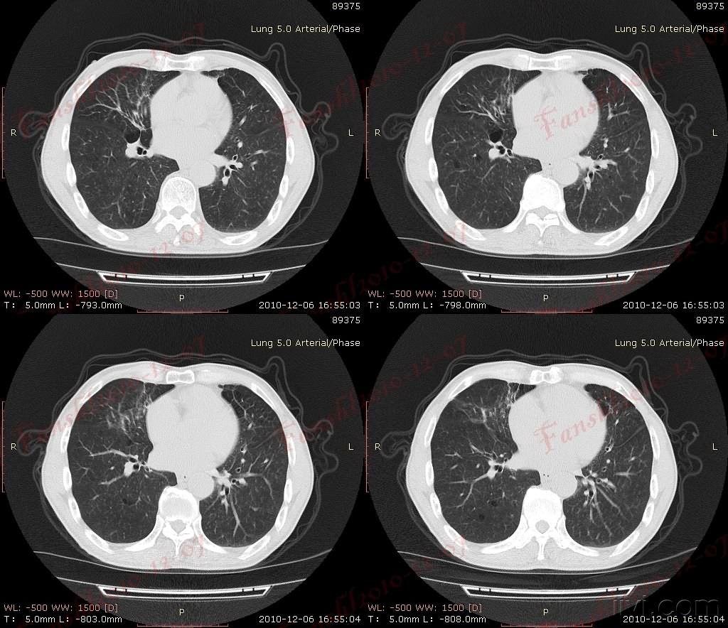
男性70岁慢性支气管炎数十年
图片尺寸1024x884
慢支肺气肿合并肺大疱,又气胸了,胸管放了半个月了,还在漏气,如何是好
图片尺寸715x601
病例展示系列一弥漫性泛细支气管炎
图片尺寸750x1086
弥漫性泛细支气管炎
图片尺寸858x960
慢性支气管炎症状慢性支气管炎十大名药2022已更新今日图集
图片尺寸458x337
支气管炎ct影像学表现为双肺纹理增粗,增多,纹理紊乱,双肺斑点状
图片尺寸1566x1280
男性70岁慢性支气管炎数十年
图片尺寸1024x884
男性70岁慢性支气管炎数十年
图片尺寸1024x884
今天想谈谈慢性支气管炎是如何治疗的希望能给大家带来一些帮助
图片尺寸500x375
【病例讨论】关于弥漫性泛细支气管炎的影像表现(补充资料再讨论)
图片尺寸2568x1652
今日复查ct.支气管扩张.但患者却没有痰.误诊了.
图片尺寸1242x1656
有慢性支气管炎十余年,肺气肿9年.增加了新图像资料,以作对比.
图片尺寸2463x1539
支气管炎ct影像学表现为双肺纹理增粗,增多,纹理紊乱,双肺斑点状
图片尺寸1831x1280
肺气肿,慢性支气管炎对人到底有哪些影响,真的坐着都会喘
图片尺寸623x247
辅助检查:拍胸部平片,后做ct 临床诊断:既往诊断为慢性支气管炎四十
图片尺寸2042x1984
弥漫性泛细支气管炎,ct尤其hrct可见小叶中心性结节呈弥漫性分布,常与
图片尺寸571x595
【病例讨论】关于弥漫性泛细支气管炎的影像表现(补充资料再讨论)
图片尺寸1917x1276
dpb弥漫型泛细支气管炎
图片尺寸1199x1599
柳澄讲坛丨正确判读支气管异常的ct征象
图片尺寸960x720
男60岁胸片示支气管炎治疗后复查ct
图片尺寸800x706