慢阻肺胸片

最新-慢性阻塞性肺疾病 课件ppt
图片尺寸1080x810
胸部正位片:慢性阻塞性肺气肿,膈下可见游离气体.
图片尺寸2000x2667
格艾选读丨慢性阻塞性肺疾病copd气道炎性改变肺气肿
图片尺寸984x595
全科小讲堂3——慢性阻塞性肺疾病(第2小节)
图片尺寸960x720
第四讲-慢阻肺急性加重期的管理ppt
图片尺寸1080x810
曾庆思教授慢性阻塞性肺疾病的影像表现及研究进展
图片尺寸492x254
只因抱了一下孙子71岁慢阻肺病友住进icu
图片尺寸985x842
经西医诊断无明显的毛细血管;重者为心肺两阴亏耗调一调有治,或慢支炎
图片尺寸600x450
老年慢阻肺急性加重一般措施不能缓解,要警惕自发性气胸
图片尺寸4032x3016
copd诊断ppt课件
图片尺寸1080x810
慢性支气管炎, 呼吸困难,肺不通气, 橘红这样吃3天呼吸通畅!
图片尺寸640x534
男性80岁既往慢阻肺病史以下是胸片各位老师指点一下
图片尺寸4000x3000
肺气肿的影像诊断
图片尺寸1080x810
肺气肿的影像诊断
图片尺寸1080x810
辅助检查: 胸片提示:支气管炎表现;不排除右下肺先天性含气囊肿; 左
图片尺寸640x665
肺气肿的影像学诊断多图
图片尺寸543x305
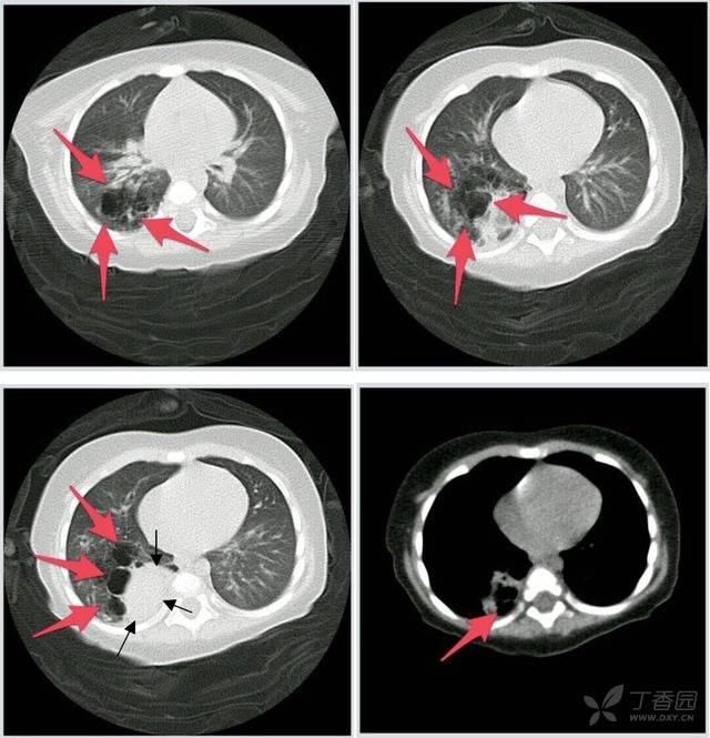
胸片(图1)发现左下叶肺泡处阴影,ct(图2)同样可见,另外还发现右下叶
图片尺寸902x884
各位同仁,这张胸片除了慢性支气管炎还有其他什么?谢谢了
图片尺寸1024x768
正常胸片 支气管肺炎
图片尺寸1080x810
病例读片-胸片
图片尺寸1080x810