慢阻肺ct影像图片

满目疮痍→记录一例慢阻肺合并ipa的疑问 - 丁香园论坛
图片尺寸4096x3072
满目疮痍→记录一例慢阻肺合并ipa的疑问 - 丁香园论坛
图片尺寸4096x3072
慢阻肺一例
图片尺寸680x510
拿什么来拯救你一营养不良的慢阻肺
图片尺寸4096x3072
慢阻肺也称其为慢性阻塞性肺病,它是肺部疾病的一个总称
图片尺寸2000x1333
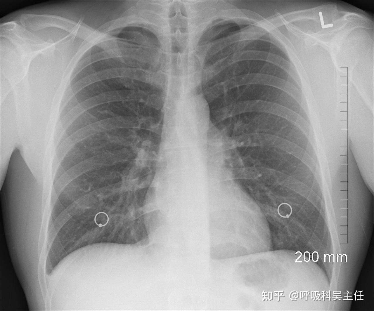
男性80岁既往慢阻肺病史以下是胸片各位老师指点一下
图片尺寸4000x3000
满目疮痍→记录一例慢阻肺合并ipa的疑问 - 丁香园论坛
图片尺寸4096x3072
慢阻肺背景下的肺炎
图片尺寸4624x3468
苏州京东方医院:老人急发慢阻肺 精准治疗化危机
图片尺寸970x827
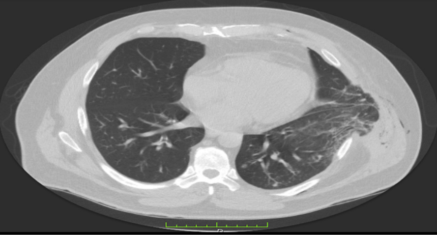
满目疮痍→记录一例慢阻肺合并ipa的疑问 - 丁香园论坛
图片尺寸4096x3072
满目疮痍→记录一例慢阻肺合并ipa的疑问 - 丁香园论坛
图片尺寸4096x3072
最新-慢性阻塞性肺疾病 课件ppt
图片尺寸1080x810
满目疮痍→记录一例慢阻肺合并ipa的疑问 - 丁香园论坛
图片尺寸4096x3072
p data-id="gnbiynn6kc">慢性阻塞性肺疾病是一种重要的慢性呼吸系统
图片尺寸960x720
慢阻肺——慢性病杀手
图片尺寸1280x1065
慢阻肺急性加重期患者肠内营养实施流程
图片尺寸692x440
慢阻肺出现急性胸痛,看完胸部ct,我惊呆了!
图片尺寸859x462
只因抱了一下孙子71岁慢阻肺病友住进icu
图片尺寸985x842
老年慢阻肺急性加重一般措施不能缓解,要警惕自发性气胸
图片尺寸4032x3016
家中老人反复咳嗽,还喘不上气?警惕慢阻肺!
图片尺寸676x476