截骨术

hto(胫骨高位截骨术)治疗膝关节 单间室骨关节炎
图片尺寸1200x2133
胫骨高位截骨术hto治疗膝内翻并前内侧骨关节炎
图片尺寸2667x2000
胫骨高位截骨术将会使关节炎患者迎来新的春天
图片尺寸3024x4032
界首京安丨胫骨截骨术膝关节骨性关节炎的保膝治疗
图片尺寸645x633
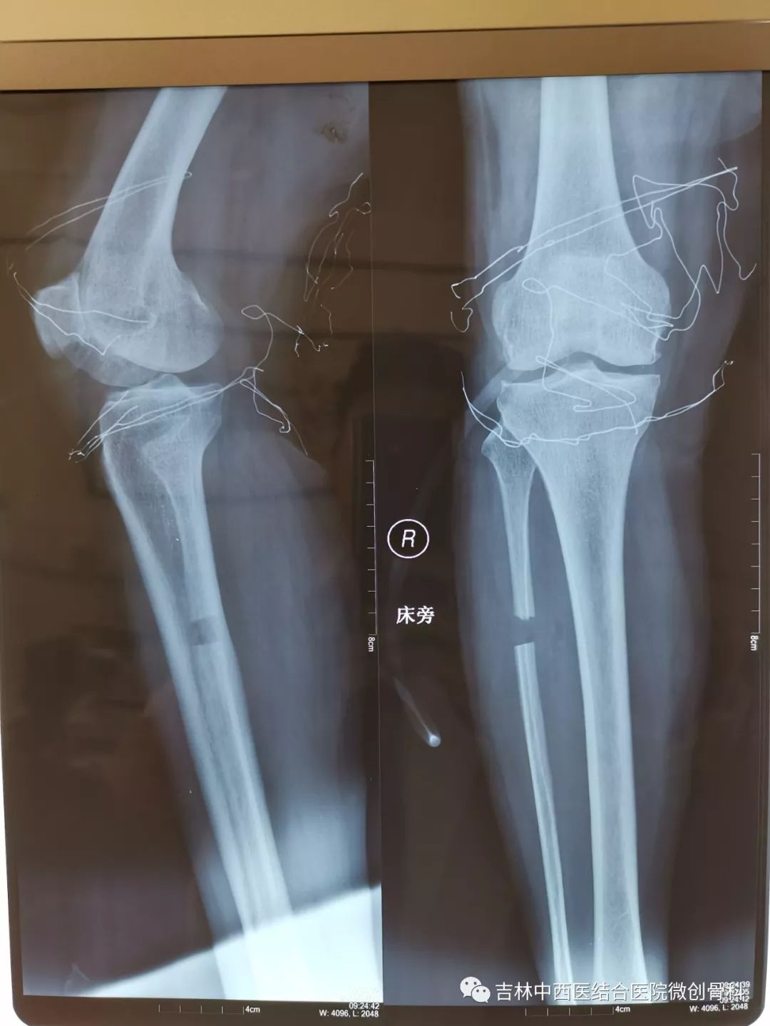
截尽全力守护健康我院成功完成胫骨高位截骨术
图片尺寸600x346
胫骨高位截骨术治疗膝关节骨性关节炎
图片尺寸1198x1598
内翻膝胫骨近端高位截骨治疗
图片尺寸3024x4032
髋臼旋转截骨:手术技术与初步结果
图片尺寸960x720
退行性脊柱侧弯ponte截骨矫形术
图片尺寸2000x2667
海外直订医药图书the intertrochanteric osteotomy 股骨粗隆间截骨术
图片尺寸800x800
内翻膝胫骨近端高位截骨治疗
图片尺寸3024x4032
柳林县人民医院成功开展膝内翻hto截骨术
图片尺寸1080x1559
跟骨畸形愈合截骨矫形
图片尺寸1080x1440
海南州首例胫骨高位截骨矫形术在贵德县人民医院成功完成
图片尺寸1440x1080
髋臼旋转截骨:手术技术与初步结果
图片尺寸960x720
膝关节疼痛患者的福音------截骨术 - 好大夫在线
图片尺寸2976x3968
任杰开展关节镜 腓骨截骨技术治疗早中期骨性关节炎取得良好效果
图片尺寸1080x1439
胫骨高位截骨术hto治疗膝内翻并前内侧骨关节炎
图片尺寸2940x2000
chevron截骨术三名家专辑
图片尺寸756x427
矢状劈开截骨术示意图?
图片尺寸296x338