手的x线解剖

腕关节x线解剖图
图片尺寸1888x1280
【讨论】x线详解-手把手教你看片
图片尺寸649x497
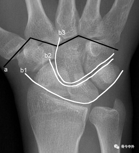
三,这里简单插一张手腕部x光的解剖图所有就有我这个项目的由来.
图片尺寸1185x1600
【讨论】x线详解-手把手教你看片
图片尺寸497x498
x射线的手
图片尺寸798x1200
x射线的手
图片尺寸798x1200
常规x线全身影像解剖大全
图片尺寸670x502
腕关节x线解剖(正侧位标准对照,常用测量方法)及读片技巧
图片尺寸640x705
手部和手指x线图像显示拇指和小指骨折.疼痛的概念
图片尺寸863x1200
腕关节x线解剖(正侧位标准对照,常用测量方法)及读片技巧
图片尺寸640x700
人类成年女性右手骨x线照片.医学和解剖学放射学或影像学.
图片尺寸1200x800
x线高清图谱 | 精致腕关节解剖
图片尺寸1080x661
正常人手骨头x光图临床意义通过x线检查可了解手骨病变的发生部位
图片尺寸750x500
x线解剖图谱手部
图片尺寸670x501
手x射线.女性.
图片尺寸961x1200
腕关节x线解剖(正侧位标准对照,常用测量方法)及读片技巧
图片尺寸412x522
x线高清图谱|精致腕关节解剖|安健科技|腕关节|舟骨|鼎湖
图片尺寸600x663
详细的腕关节x线解剖 摄影技巧 阅片技巧 测量
图片尺寸640x480
腕关节x线解剖及诊断,这份图谱太实用了
图片尺寸457x504
x线高清图谱 | 精致腕关节解剖
图片尺寸1080x680