手腕尺骨茎突骨折图片

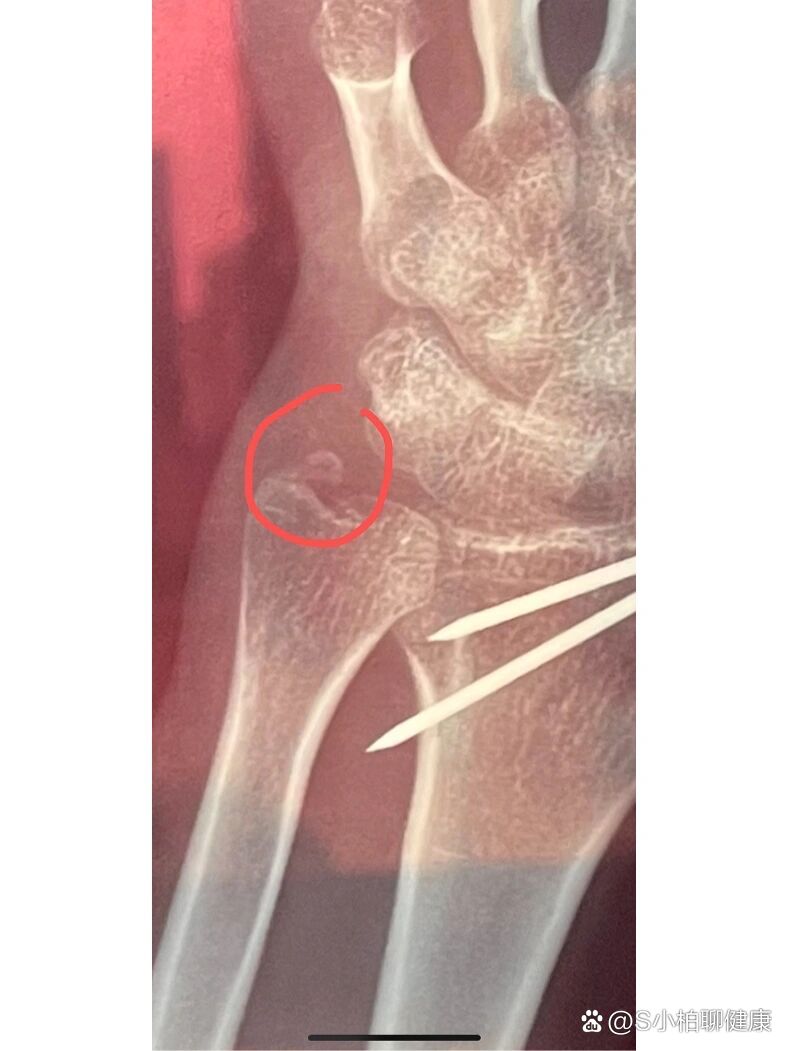
左侧桡骨远端骨折,尺骨茎突骨折 有没有懂得,看看,这个算严重吗,保守
图片尺寸1920x2560
左尺骨茎突撕脱性骨折
图片尺寸1920x2560
左侧桡骨远端骨折,尺骨茎突骨折
图片尺寸1920x2560
左侧桡骨远端骨折,尺骨茎突骨折 有没有懂得,看看,这个算严重吗,保守
图片尺寸1920x2560
左尺骨茎突伴桡骨远端骨折患者,手法复位后效果杆杆的 - 抖音
图片尺寸1558x1168
右手桡骨远端骨折,右手尺骨茎突 感觉弯曲的角度大了一点,不知道是不
图片尺寸960x1280
右手桡骨远端骨折,右手尺骨茎突 感觉弯曲的角度大了一点,不知道是不
图片尺寸960x1280
8岁摔伤手腕考虑骨折吗
图片尺寸2647x3768
碎掉的小尺骨茎突|骨折第三十天
图片尺寸788x1051
左桡骨远端左尺骨茎突左腕舟骨骨折
图片尺寸1080x1439
左尺骨茎突撕脱性骨折
图片尺寸1920x2560
右侧桡骨远端及尺骨茎突粉碎性骨折;右腕钩
图片尺寸1280x1706
桡骨远端骨折#尺骨茎突撕脱性骨折 摔倒骨折了,能复位保守治 - 抖音
图片尺寸1080x2310
左尺骨茎突撕脱性骨折
图片尺寸1920x2560
男孩12岁外伤至左尺桡骨下端骨折
图片尺寸3060x4080
一例儿童桡骨远端骨折
图片尺寸3024x4032
记录人生第一次住院,手腕骨折左桡骨远端骨
图片尺寸1440x1920
14岁男生体育课摔倒,单手撑地引发手腕骨折
图片尺寸640x937
儿童尺桡骨下端骨折手术or保守治疗?
图片尺寸4096x3072
桡骨茎突骨折保守还是手术
图片尺寸2252x4000