扣带回ct解剖图片

高等教育 医学 颅脑断面解剖ppt 头部第 8 水平层面 ct 额上回 大脑镰
图片尺寸1080x810
关键结构 中央沟 中央前回 中央后回 顶下沟 扣带回 额上沟 额下沟 顶
图片尺寸1080x810
功能神外 | 扣带回癫痫及其外科治疗—北京儿童医院 梁树立_解剖
图片尺寸1080x813
fc 7-断面解剖与mri ct ect对照-医学
图片尺寸1144x1221
扣带回15额内侧回16扣带沟17大脑前动脉18额上回19额中回20额下回21
图片尺寸1080x1439
41岁男性,甲醇中毒,精神状态改变,眼球后疼痛,增强ct显示豆状核,胼胝
图片尺寸490x500
断面解剖与mri ct ect对照图谱_知网百科
图片尺寸977x928![[扣带回的位置(红色部分)]](https://i.ecywang.com/upload/1/img2.baidu.com/it/u=2584544821,630859270&fm=253&fmt=auto&app=138&f=JPG?w=500&h=350)
[扣带回的位置(红色部分)]
图片尺寸767x537
边缘沟,扣带回沟,舌叶"鱼嘴造型"鞍区的精细解剖正常垂体大小mr 冠状
图片尺寸1080x809
大脑纵裂 额叶 中央前回 中央沟 半卵圆区 扣带回 顶叶 半 卵 圆 区
图片尺寸1080x810
高等教育 医学 颅脑断面解剖ppt 头部第 7 水平层面 ct 额上回 额中回
图片尺寸1080x810
颅脑断面解剖ppt
图片尺寸1080x810
顶叶 13,中央后回14,缘上回 15,枕叶 16,楔前叶17,中央前回 18,扣带回
图片尺寸360x442
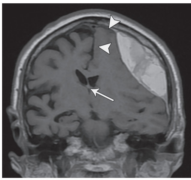
冠状对比增强 ct 图像显示大脑镰自由缘下方的扣带回从左到右突出
图片尺寸636x600
像(图 1)结果显示广泛性对称性皮质异常,累及双侧额叶,颞叶,以扣带回
图片尺寸640x436
出现在40岁以上,无神经系统异常表现,钙化灶较小,ct值多不超过100hu
图片尺寸657x497
颅脑正常ct和mri-课件.ppt
图片尺寸1152x864
颅脑断层解剖 mri --经 丘 连 层 尾状核 颞上回 颞中回 扣带回 胼胝
图片尺寸1080x810
收藏高清颅脑断层解剖图谱
图片尺寸729x627
断面解剖与mri ct ect对照图谱_知网百科
图片尺寸645x641