拇外翻角

拇外翻_介绍_发病原因_症状表现_治疗方式_日常注意事项 - 好大夫
图片尺寸913x839
拇外翻
图片尺寸4160x3120
爱穿高跟鞋却频频脚痛关于拇外翻不得不说的故事
图片尺寸960x872
2012年第一例拇外翻(更新图片) - 好大夫在线
图片尺寸2592x1936
拇外翻的矫治
图片尺寸1242x1656
拇外翻的矫治
图片尺寸1242x1656
重度拇外翻
图片尺寸7296x5472
拇外翻的诊断治疗ppt课件
图片尺寸1080x810
拇外翻最佳治疗方法 拇外翻10分钟手术费用-起航号
图片尺寸4476x2534
重度拇外翻患者图片
图片尺寸600x718
拇外翻是怎么回事?
图片尺寸1200x900![一例双足拇外翻 [病例帖]](https://i.ecywang.com/upload/1/img0.baidu.com/it/u=2916739298,1216638946&fm=253&fmt=auto&app=138&f=JPEG?w=500&h=375)
一例双足拇外翻 [病例帖]
图片尺寸4608x3456
认识拇外翻
图片尺寸4000x2248
男性重度拇外翻患者图片
图片尺寸846x600
20年底拇外翻截骨矫形手术术后一个月
图片尺寸910x1920
董留伟带您一起了解拇外翻临床表现
图片尺寸1200x900
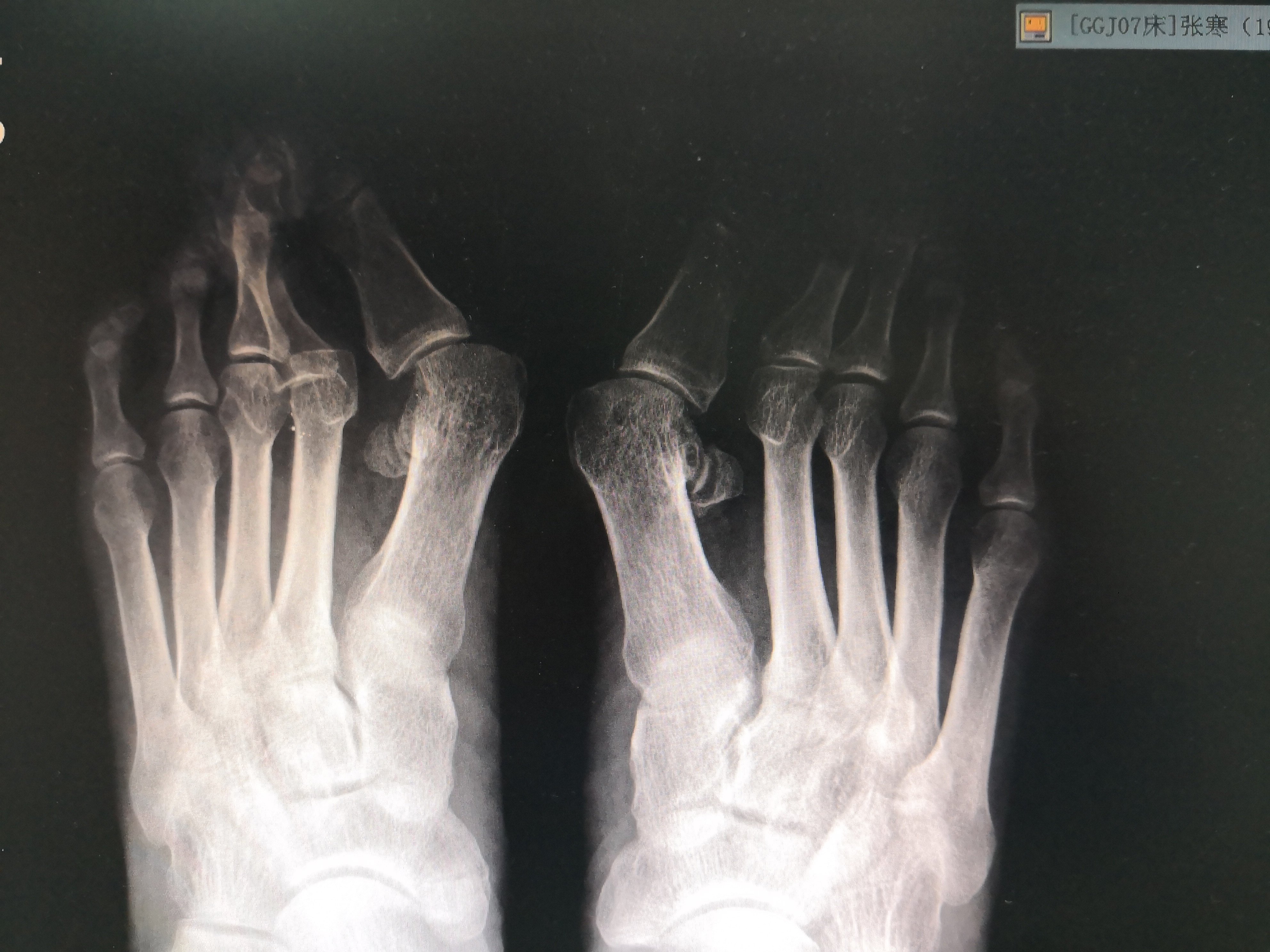
拇外翻患者x光图片_有来医生
图片尺寸800x600
拇外翻有何危害
图片尺寸347x478
拇外翻 - 好大夫在线
图片尺寸3968x2976
右脚大拇指有点外翻,关节处有点酸疼,是什么原因,需要治疗吗
图片尺寸1936x2592