拇外翻ct

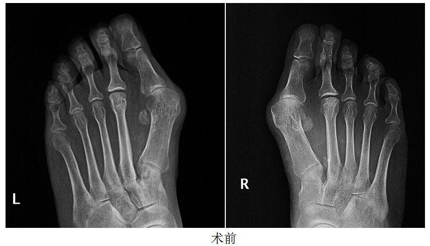
双足拇外翻畸形
图片尺寸2048x1536
我的拇外翻手术记录2018-3-15更新于2021-12-17
图片尺寸1079x1438
大脚骨(拇外翻)介绍及开展的典型病例
图片尺寸1536x2048
足拇外翻的治疗ppt
图片尺寸1080x810
中重度踇外翻 - 好大夫在线
图片尺寸1440x1080
【科普】拇外翻又疼又难看,创伤与显微外科帮你解决麻烦
图片尺寸862x637
骨六科重度拇外翻并第2趾交叉趾畸形的治疗
图片尺寸2673x2191
拇外翻_介绍_发病原因_症状表现_治疗方式_日常注意事项 - 好大夫
图片尺寸2100x1574
拇外翻手术五周结果让我惊喜和感动03
图片尺寸1920x2560
微创拇外翻的先后对比
图片尺寸440x547
姑且记录一下自己的拇外翻手术恢复史
图片尺寸1382x2048
关于拇外翻(大脚骨),动手术好还是不好?困扰好多年了.
图片尺寸2448x2448
骨六科重度拇外翻并第2趾交叉趾畸形的治疗
图片尺寸2702x2048
拇外翻
图片尺寸500x409
拇外翻,锤状趾,裁缝趾 - 好大夫在线
图片尺寸3968x2976
拇外翻微创手术治疗.张博士咨询电话:18686052315
图片尺寸2736x3648
大脚骨拇外翻矫形手术
图片尺寸720x554
近期医院做了三例拇外翻手术,现将术前术后x线照片传上,欢迎大家发表
图片尺寸1040x780
足拇外翻大家怎样做?
图片尺寸922x692
双足拇外翻的手术治疗
图片尺寸855x489