拔牙前后

2021三甲医院牙科收费价目表更新,含拔牙,种牙一颗费用
图片尺寸500x437
拥挤拔牙小患者的正畸前后对比
图片尺寸887x887
前后人腰骶后棘足部和腿部手术后包扎事故发生后男孩就诊缝针后拔牙
图片尺寸741x300
我只想矫正为何医生总让我拔牙
图片尺寸2245x1359
姐妹们!拔牙一定要注意6015
图片尺寸1080x1079
智齿蛀牙拔牙后续
图片尺寸1080x1199
生,张不开嘴,吐不出血沫子,现在第七天已经恢复七七八八了,拔牙需谨慎
图片尺寸979x733
拔牙后多久装假牙比较合适?
图片尺寸500x196
金华哪家牙科医院拔牙,整牙收费不贵还可以刷医保卡?
图片尺寸500x301
2021三甲医院牙科收费价目表更新含拔牙种牙一颗费用
图片尺寸500x191
因为牙齿问题,妹子一直没有自信的笑容…通过拔牙矫正后,不仅排齐了牙
图片尺寸1080x721
拔牙矫正
图片尺寸1080x607
拔牙患者福利来了:拔牙前,后需要注意什么,口腔专业医师为你详细解说
图片尺寸474x316
不比不知道一比吓一跳系列之拔牙正畸救人与无形啊整牙前的照片,其实
图片尺寸1080x1439
整牙经验_整牙_拔牙_牙齿矫正_牙套_牙套脸_牙膏_漱口水_整牙经验_美
图片尺寸1080x1080
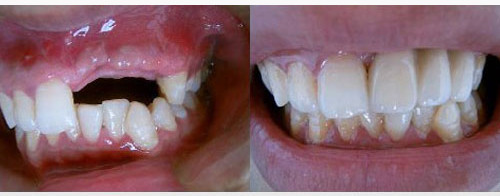
拔牙后不进行修复的后果,你想象不到! - 知乎
图片尺寸555x214
拔牙5天后牙窝愈合过程图牙槽竟然如此神奇
图片尺寸450x424
成年人牙齿拥挤正畸拔牙和扩弓到底如何选择
图片尺寸666x251
拔牙后多久可以镶牙?种植牙/活动假牙/临时牙等镶牙时间大有差异
图片尺寸561x220
97龅牙要想内收还得靠拔牙,拔牙内收才更有效果!
图片尺寸1080x1439